みなさまおはようございます。東京のプロ矯正歯科院長 田中憲男です
ようやく梅雨があけて夏本番に入りましたね!昨晩もそうですが、大気の状態が不安定なこともあって、突風や雷といった現象がちょくちょくおきております。折りたたみ傘の売れ行きがよくなりそうな毎日ですね!
小学校、中学、高校、大学と夏休みに入ったこともあり、普通なら学校に通っている時間帯でも通院してくれるのが夏休み期間です。 こういった期間は普通なら夕方や土曜日しか来ることができない人でも平日日中にきてくれますので、予約が分散してくれる結果、写真などの資料取りが可能になります。
一般的に写真は矯正治療前の検査で1回、矯正治療中で1回、矯正治療完了後で1回、保定治療2年経過後1回の4回セットが最低限の写真撮影回数です。
できればX線写真もこれと同じ頻度で撮影したいのですが、放射線にデリケートな患者さんや、妊婦さんもいますので、実際はこれよりも少なくなる人も多くいると思います。
さて、今回のテーマは
【治療費用 安く】予防だけで良好な歯列を獲得することは可能か?
はじめに注意しておきますが、大人の方や、小学校高学年以降の方は無駄なことですので、よろしくお願いします。
これは、あくまでも ほったらかしにしていたら悪い方向に発育してしまうだろうと予想される歯列を、適切なアドバイスをおこなうことによって、自然に歯列を良好な方向に誘導していくということです。
当院は相談に来られた小児患者さんを以下の3つに分類します
1:すぐに治療した方が良い群
2:いづれ治療が必要な群
3:治療が必要なさそうな群
これらのうち2に関しては、治療開始タイミングをできるだけ遅くすることにしております。
理由は治療回数を少なくしたいのです。
やはり治療に来られる患者さんの立場からも、治療を担当する術者側からも治療回数は少ないほうが得です。
特に、当院の場合は非常に混雑しておりますので、できるだけ治療回数を少なくしたいのです。
経過観察をおこなっていくと、初診時は明らかに2のグループの患者さんが3時間の経過と共にのグループに変化することがあります。
ポイントとしては
1:乳歯から永久歯への適切な交換タイミング
2:正しい舌の使い方をマスターする
たったこれだけです。
1は状況に応じて乳歯の抜歯を積極的におこなうこともあります。
当然、麻酔をしなくては抜歯できない状況も多々ありますので、このような処置を受け入れてくれる患者さんの多くは、兄弟姉妹の年長者が当院で歯列矯正治療をおこなって良好な結果を出している状況の方が多いいです。
いきなり初診で来院されて、グラグラでもない乳歯を抜歯しましょうといわれて、お願いしますという親御さんは皆無と思います。
やはり、長男さんや長女さんの治療を通して絆ができているのが重要です。
2:これも簡単なことです。
ストローで飲み物を飲む練習
ガムを使った舌のトレーニング
たったこれだけです。
それでは本日の症例です
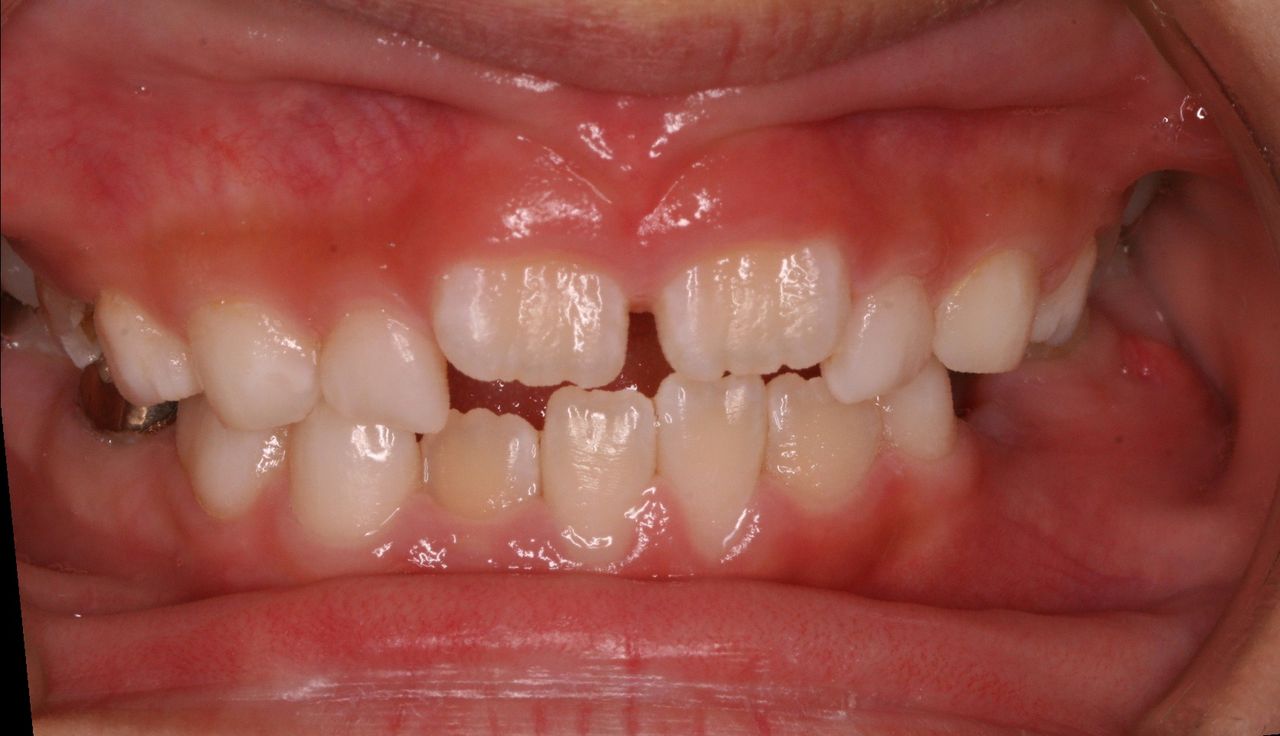
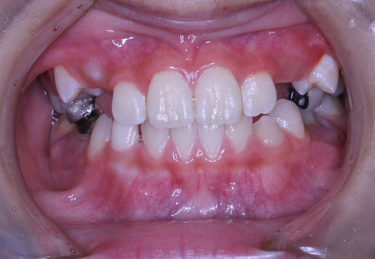
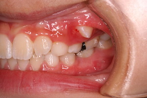
初診時はひどい状況でした。
まず、歯列矯正治療以前に虫歯の管理がまったくされておりませんでした。
最近の東京都内ではこのようなお子様は数が少なくなってきたと思います。
年齢は7歳 小学校2年生ですので、 本来なら上下前歯が大人の歯に生えそろい、横の部分は乳歯がすべてある状況です。 いわゆる生えかわりの安定期という時期ですが、この患者さんはすでに何本か乳歯を抜いてしまっております。
また、下の前歯の歯肉も下がってきており、グループ的には1に属するものの、この悲惨は口腔内環境下では、矯正治療をおこなっても散々な結果になることが予想されました。
そこで、徹底したブラッシング練習をおこない、虫歯の治療に関しては近所の歯科医院でお願いしました。
また、歯列矯正的には 自宅での簡単な不正咬合予防のトレーニングを指導しただけで、まずは生えかわりを進めていこうということにしました。
経過をみていくと、変な部分から大人の歯が生えてきました。
乳歯列時期に重篤な虫歯になった場合、あとから生えてくる永久歯は変な場所から生えてくることが多々あります。
理由は、乳歯が虫歯菌によって感染している状況下において、その上にある永久歯の卵はそのままの状況では自分も感染してしまいます。 まれに感染してしまった大人の歯は色が黒ずんだり、形がいびつな奇形的な歯になってしまいます。 多くの場合は感染した乳歯から離れていくのです。 つまり、永久歯の卵は避難しているわけです。
この状況をふりかえってみてもそうでした。
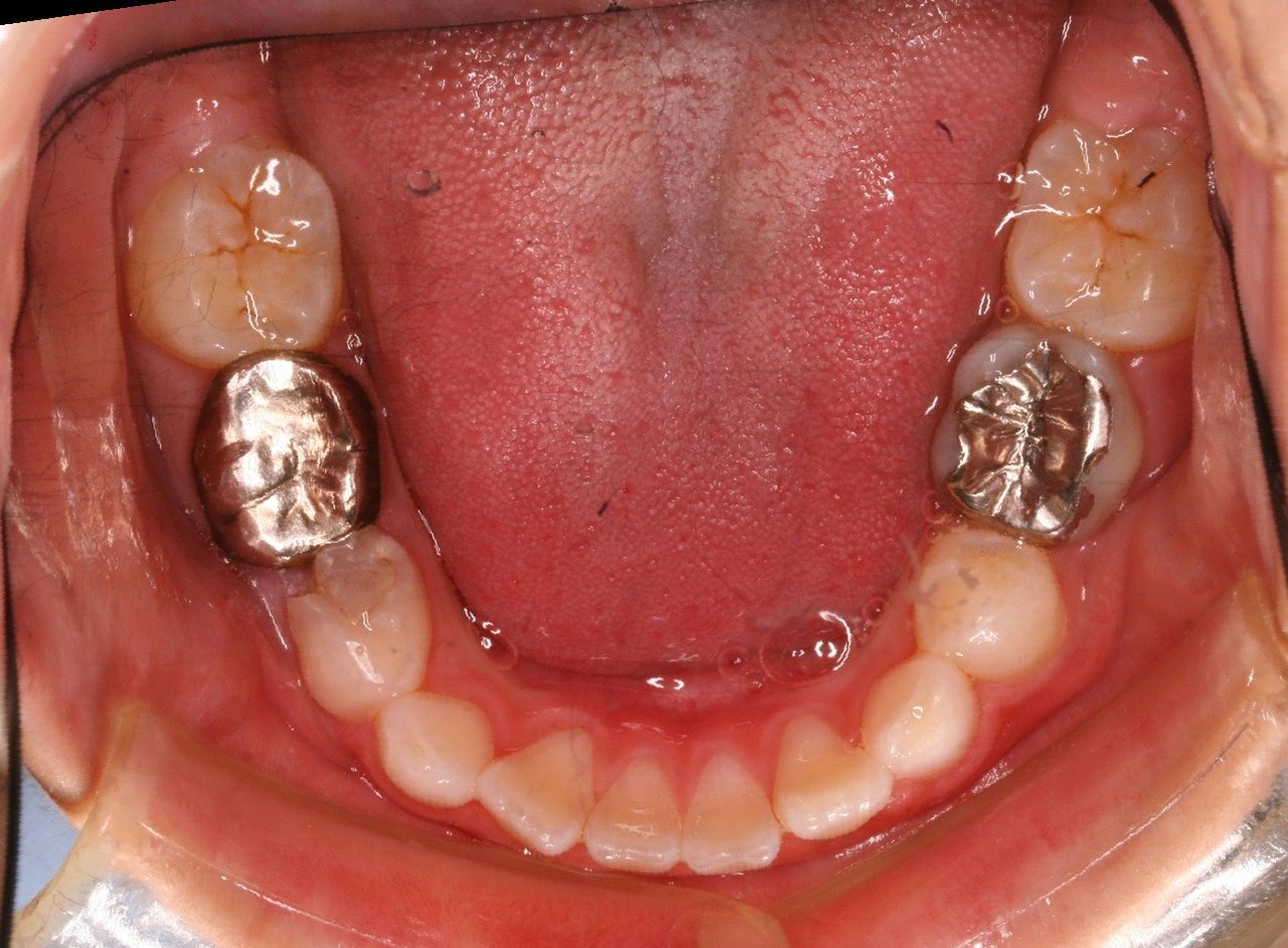
変なところから生えてきた永久歯を正常な方向に誘導するためには、その隣の乳歯も抜歯せざるを得ない状況になってしまいました。
また、一方でそうなると、反対側の乳歯の交換も促進していかなければ左右対称な歯列が完成しません。
この状況ではいくつかの乳歯をいっぺんに抜歯するといった処置をおこなう必要がありました。
また、いよいよ歯列矯正治療が必要になる可能性が高い説明もし、永久歯が虫歯にならないように予防を徹底していきました。
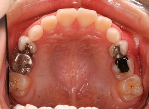
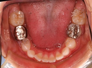
横から生えてきた永久歯も向きは悪いですが、かなり良い方向に降りてきました。
一方で出てきたときの状況は
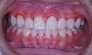
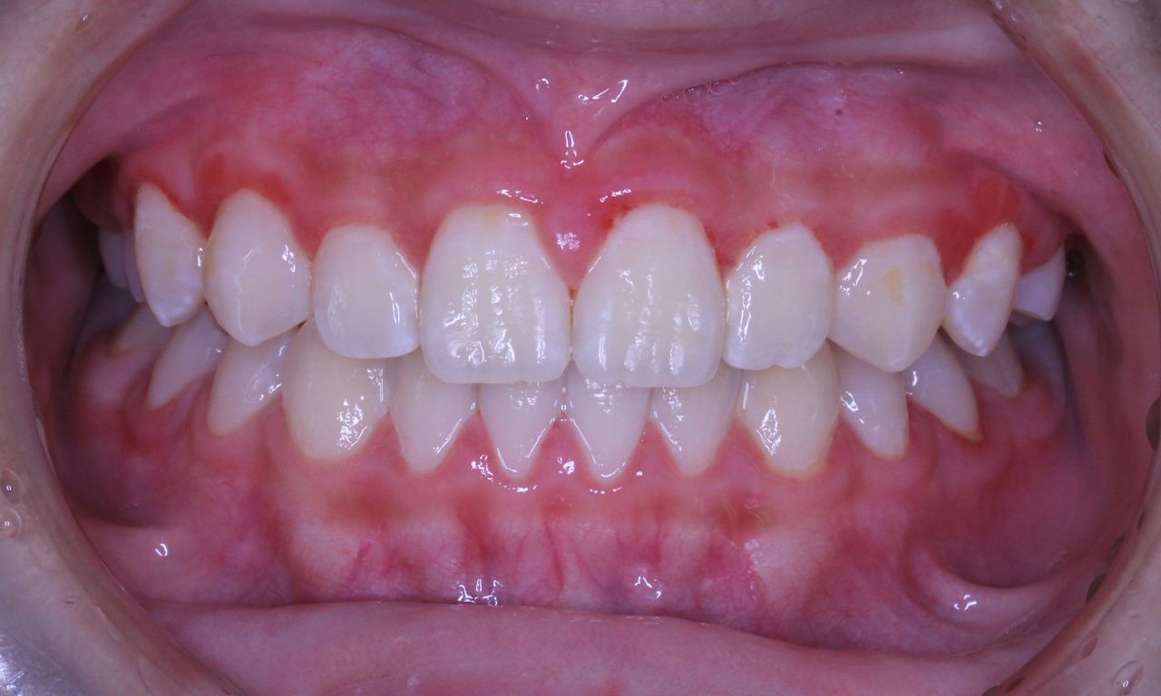
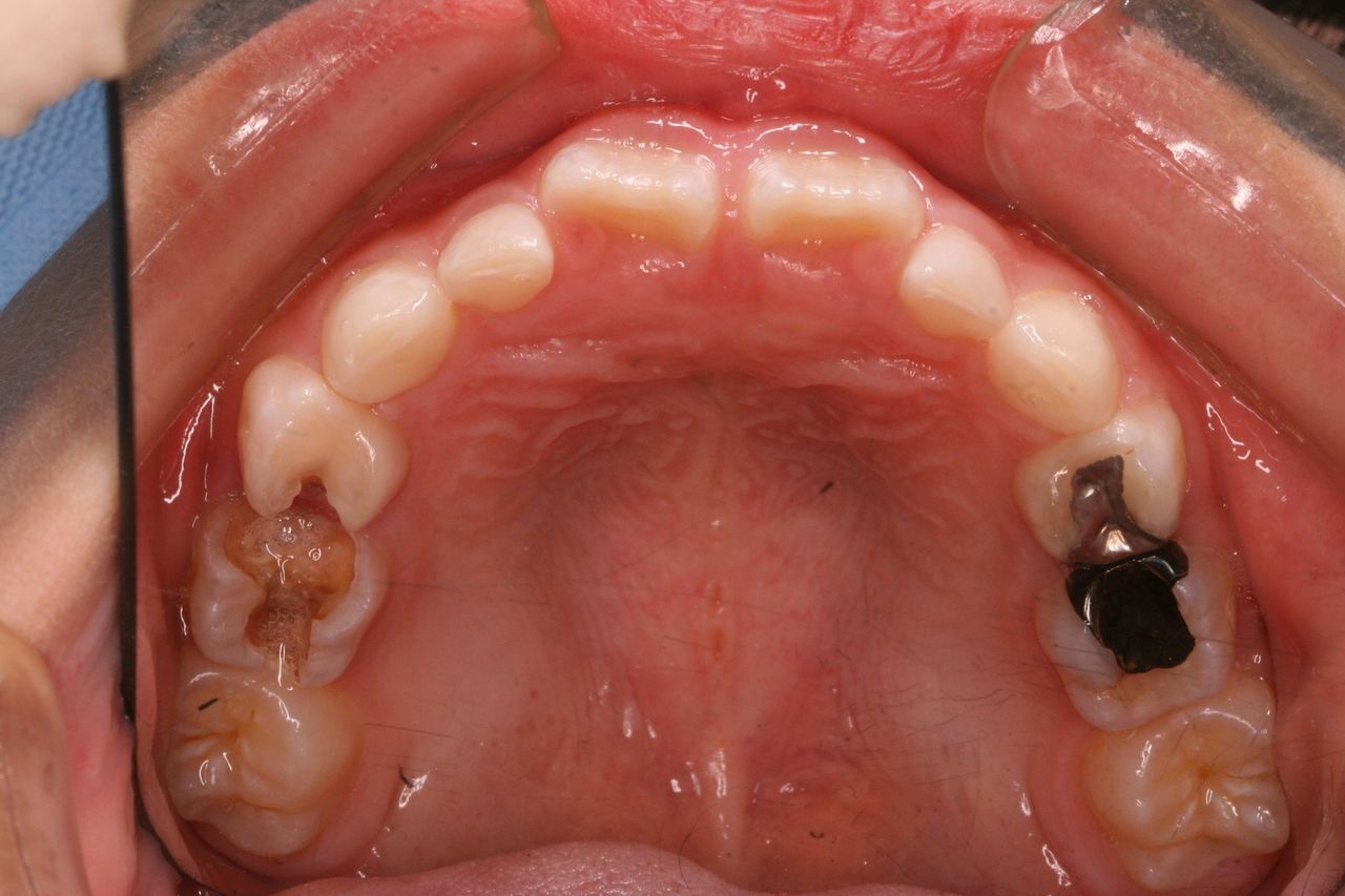
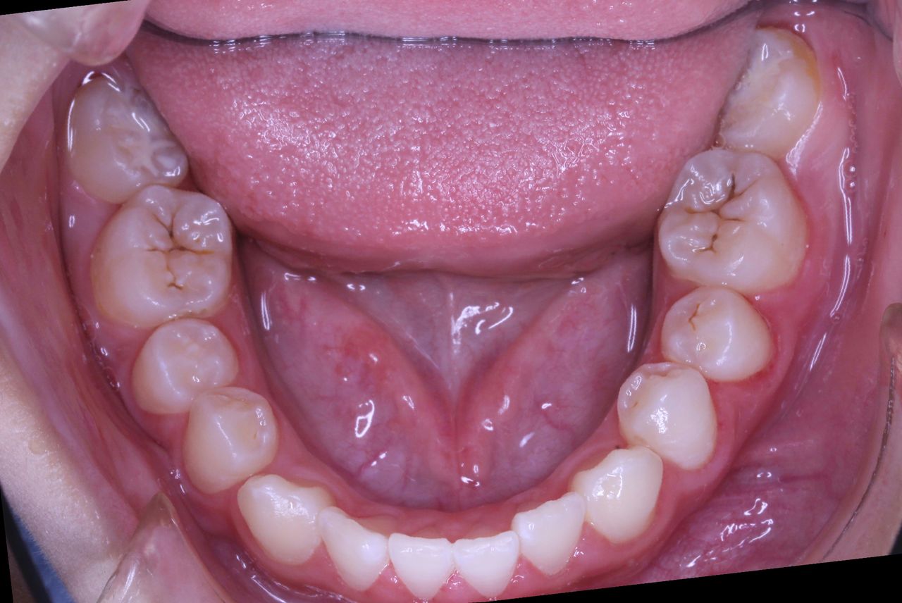
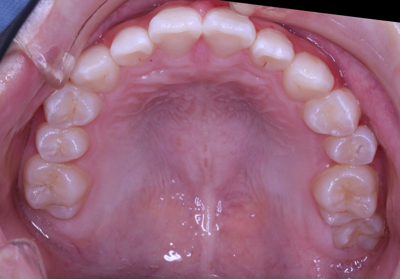
現在の状況です
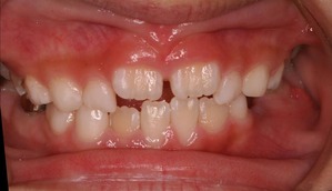
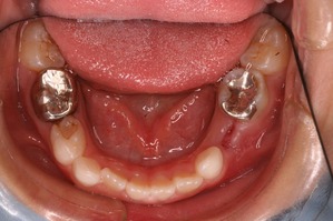
中学2年生になりました。
上顎も下顎もそこそこの歯列になっていると思います。
咬み合わせも良好です
なんと、大人の歯は虫歯0本で管理されてます!
こういった部分は歯列矯正の技術的な部分はまったくなく、知識という部分をふんだんに応用した結果です。
当院も開業10年を迎えましたので、このような子供達は結構な人数おります。
ただ、大切なことはすべての患者さんが無料でなおることはないということです。
すくなくとも、グループ1の人はすぐに歯列矯正治療を開始しないといけません。
グループ2の人の何パーセントかが、グループ3に入れば良いのではないでしょうか?
すくなくとも、このような治療例(歯列矯正治療費は一切いただいておりません。観察料金も0円です)
をみていただくことで、当院の医療理念を少しでも理解していただければ幸いです。
さて、8時になりました。
今日も1日がんばりましょう!
来週はブログの更新ができるかわかりませんが、8月もう一回くらいは更新したいです。
























この記事へのコメントはありません。