みなさま東京のプロ矯正歯科院長田中憲男です。
最近は患者さんからの口コミも多数いただいており、本当に心から感謝しております。また自分がこの職業につくことができたのも、母校の昭和大学名誉教授である柴崎好伸先生が入局を許していただいたことです。
仕事というのは実力も必要ですが、それを達成するためには運も必要です。実力があっても運がない人って周りにもいると思います。
私はそういう意味では強運の持ち主だったと自負しております。先日もある患者さんから先生の所はなんでそんなに治療費用が低価格なのか?と質問されたのですが、自己の利益を可能な限り少なくしているからです。患者さんが集まらなければ自分がいままで努力してきたことが達成できません。治療費用を値下げして患者さんが集まらなければ自爆行為ですが、幸い当院は多くの患者さんに支えられてここまで着ました。あと1年で10年目になります。
さて、本日のテーマは
抜歯だけが治療じゃない、親知らずの歯を利用する治療方法もある
患者さんの多くは親知らず=生えてきたら抜歯するもの といった認識をもつ人も多数あります。
しかしながら、不正咬合を改善する方法として親知らずを利用して代わりに他の歯を抜歯する方法もございます。
例としては
1:ガタガタの度合いが非常に厳しい場合
2:歯列全体を後方に移動したい場合
3:奥歯のかみ合わせがすれ違っている場合
4:下の奥歯を抜歯したまま放置して上の奥歯がのびてきてしまった場合
5:銀歯など多数生えていてそちらを抜歯したほうが自分の白い歯を多数のこせる場合
などです。
つまり、A:治療期間を短縮するために抜歯する場合と、
B:将来のことを考えてより悪い歯を抜歯してかわりに親知らずを利用するという方法とに分類できます。
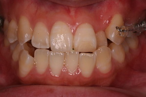
今回の症例はAの治療期間を短縮する場合です。

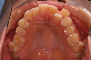
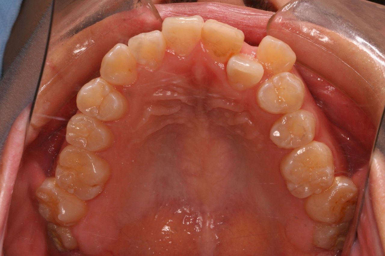
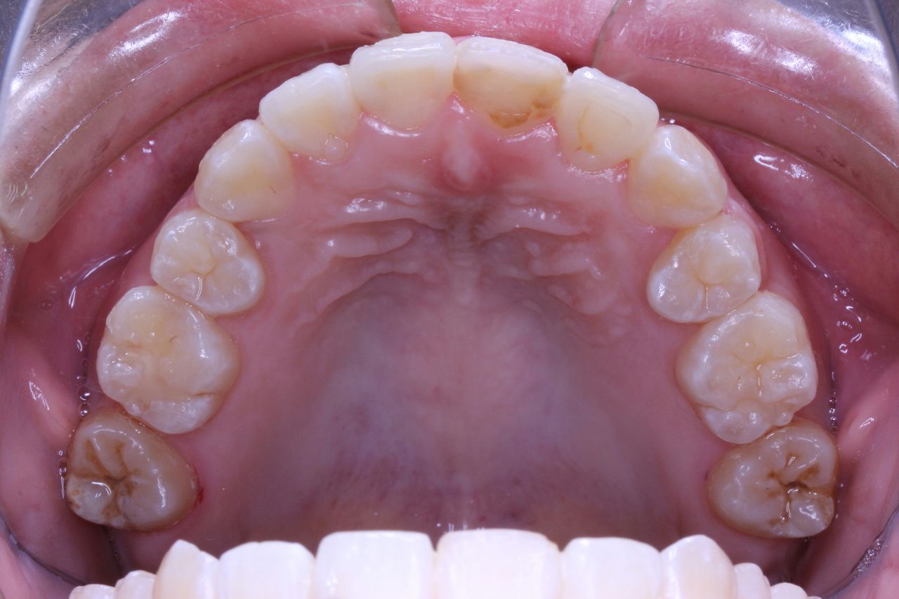
上方向からみると奥歯が頬方向に傾いております。
つまり例としては1と3に当てはまります。
私の場合、治療開始時から全部つけるのをあまり好みません。必要な部分のみ装置をセットすることが多いいです。
上の奥歯の部分を注目してください。親知らずの前の歯が2本抜歯してるのがわかると思います。
つまり、この時点で上顎だけで3本も抜歯してます。そういう意味では患者さんは不安になりますかね(笑)
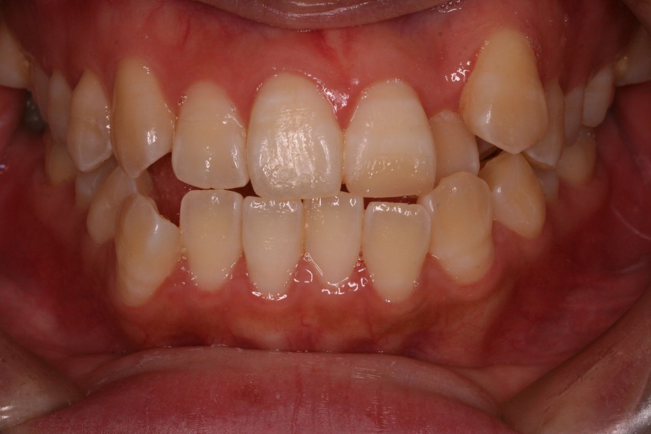
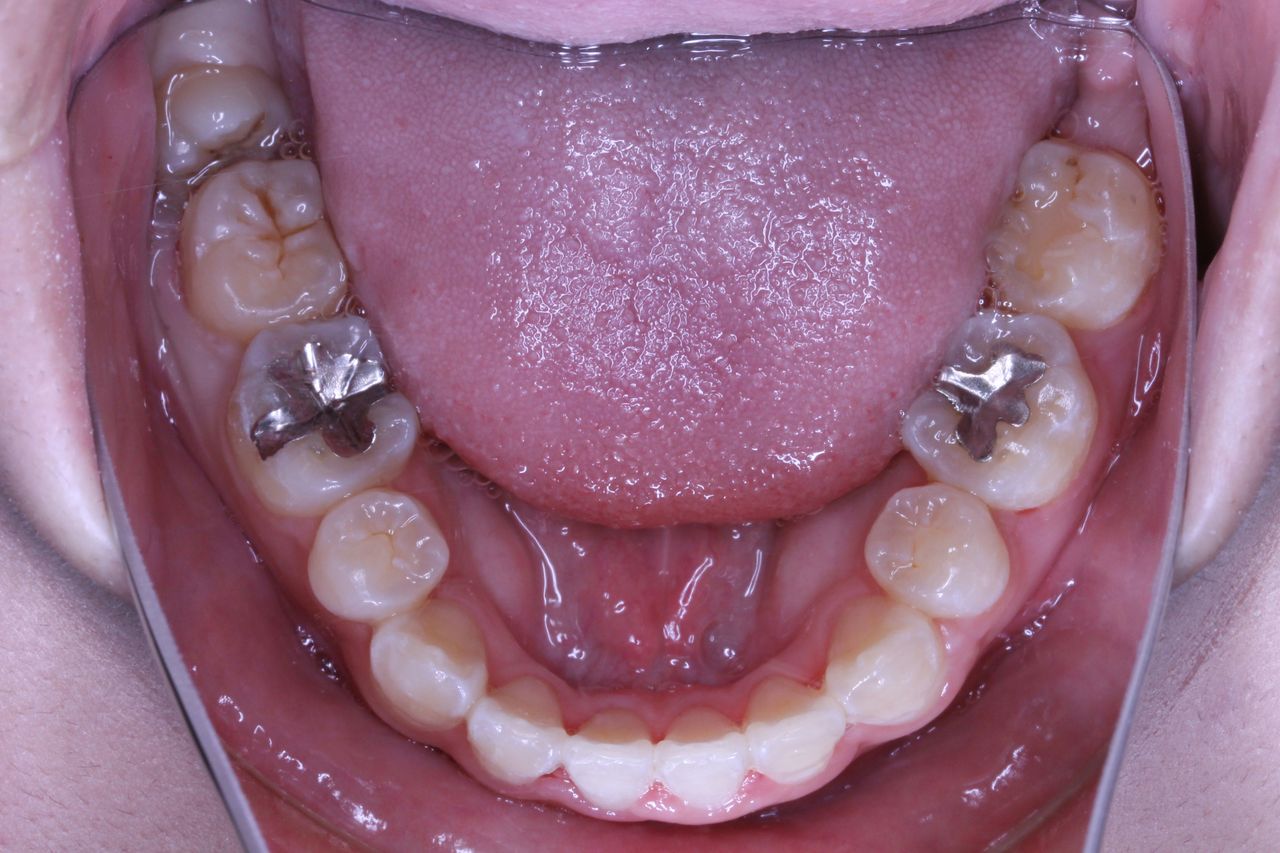
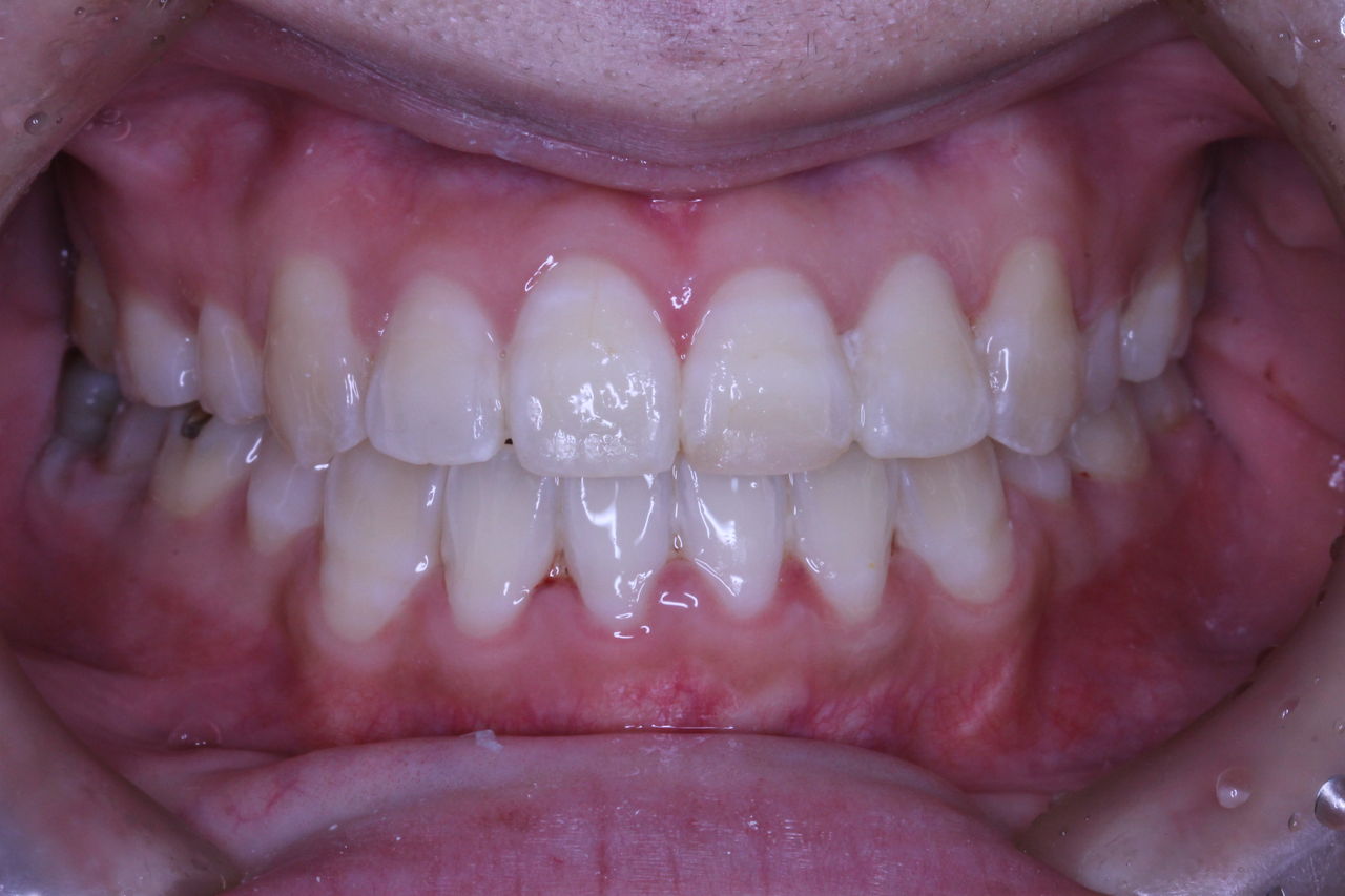
治療終了時です。
初診の状態と比較していただければ、仕上がりの状態がより理解できると思います。
本日は積雪の心配もあり、早く自宅を出発したおかげで、ブログの更新ができました。
これぞ、早起きは三文の徳ですね!




















この記事へのコメントはありません。