みなさまこんにちは。東京のプロ矯正歯科院長 田中憲男です。
とてもムシムシした暑さがつづきますね。そういえば、プロ矯正歯科の監事をされている役員が食あたりになってしまったということでした。この時期、生ものは気おつける必要があります。夏バテで疲れている体に傷んだ生ものを食すれば、体調も崩してしまうでしょう。
さて、本日のテーマ
劣化が生じてくる?過去に差し歯やブリッジを入れた人の矯正治療
当たり前なのですが、差し歯やブリッジは人工物ですので、経年劣化が生じます。
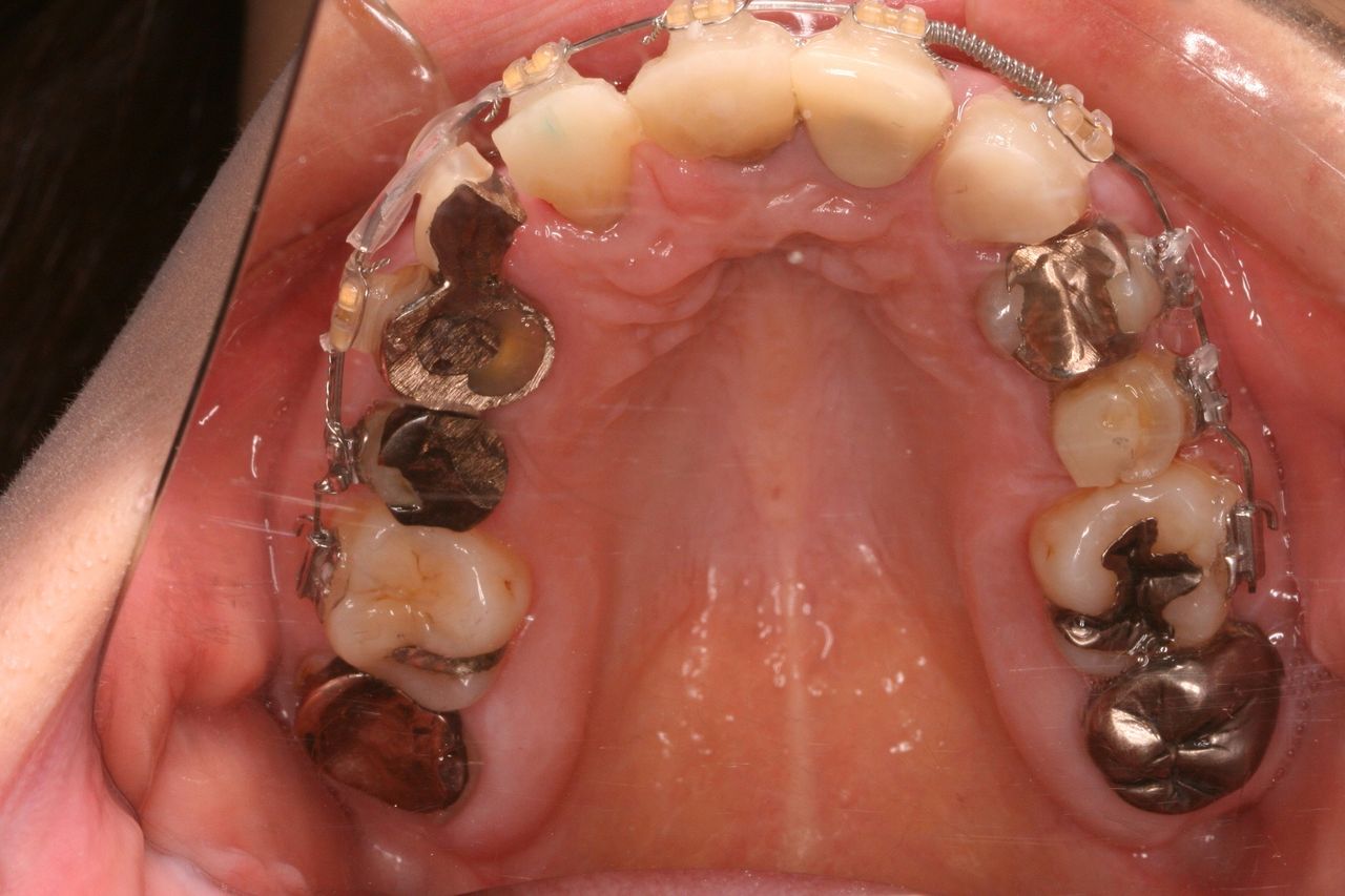
実際は健康な自分の歯並びも経年劣化するのでそういう意味では同じですが、今回は文書を読むよりも、画像を見ていただいたほうが簡単と思います。
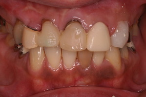
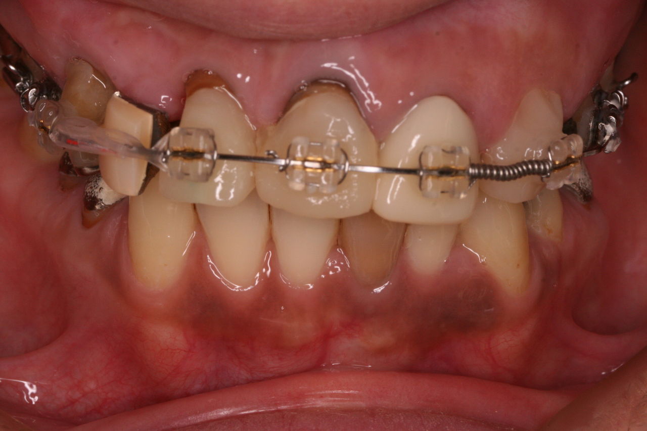
おそらく、数年前はきれいな差し歯が入っていたと推測されます。
正面からみると歯茎の黒ずみがきになります。原因は2つあり、ひとつは金属の土台から溶出される銀イオンです。もう1つは、歯を削るときにでる切削片が歯肉の中に入り込んでしまうのです。どちらも時間の経過とともに目立ってきますが、最近の審美治療ではこのようなことが生じません。
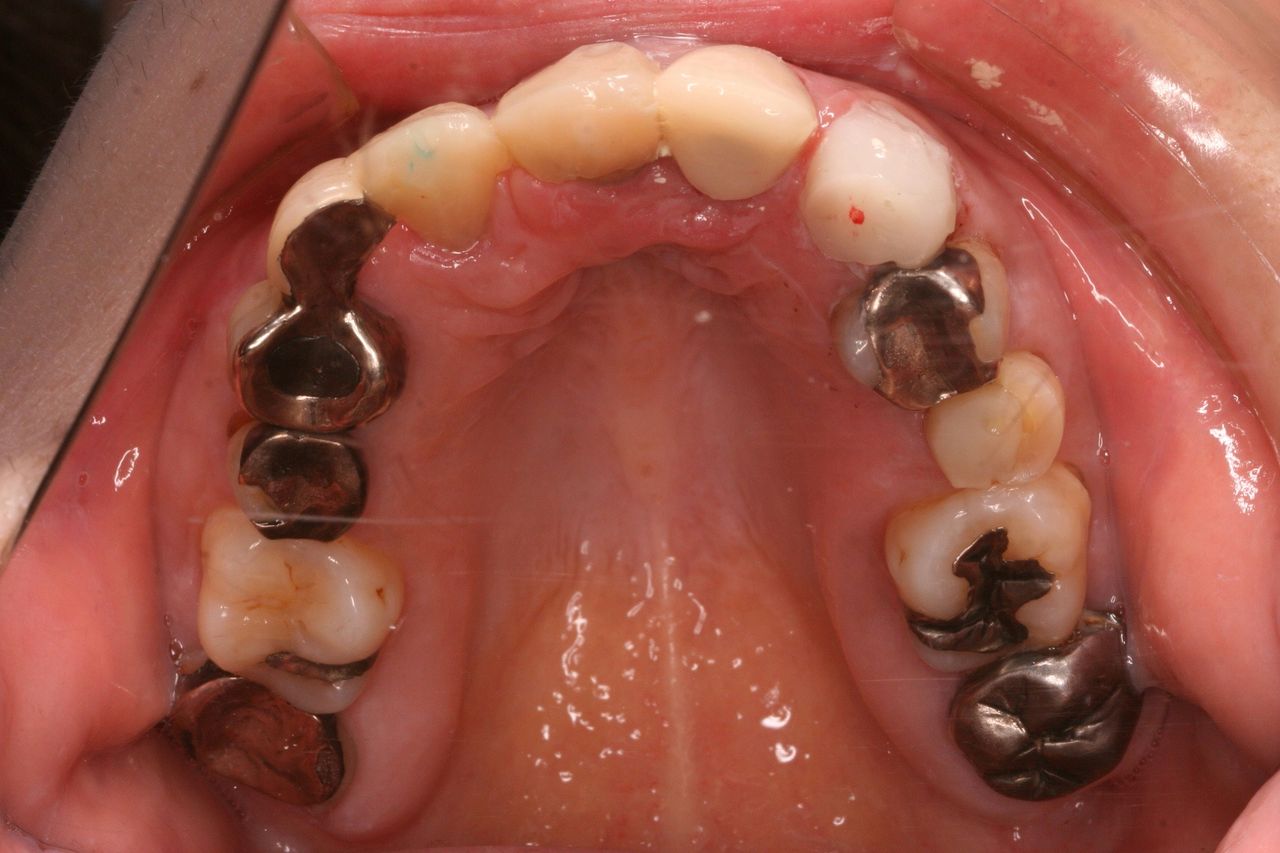
上から見ると、前歯はブリッジとなっており、左右1本づつ歯が欠損しております。
つまり、歯を抜いたのが左右1本ずつで、残りの歯をけずってブリッジにしております。
このような患者さんの場合、もし矯正をするならば、ブリッジにしない方向で隙間を閉じてあげることができないかどうかを検討します。
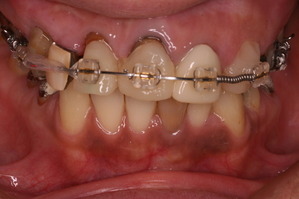
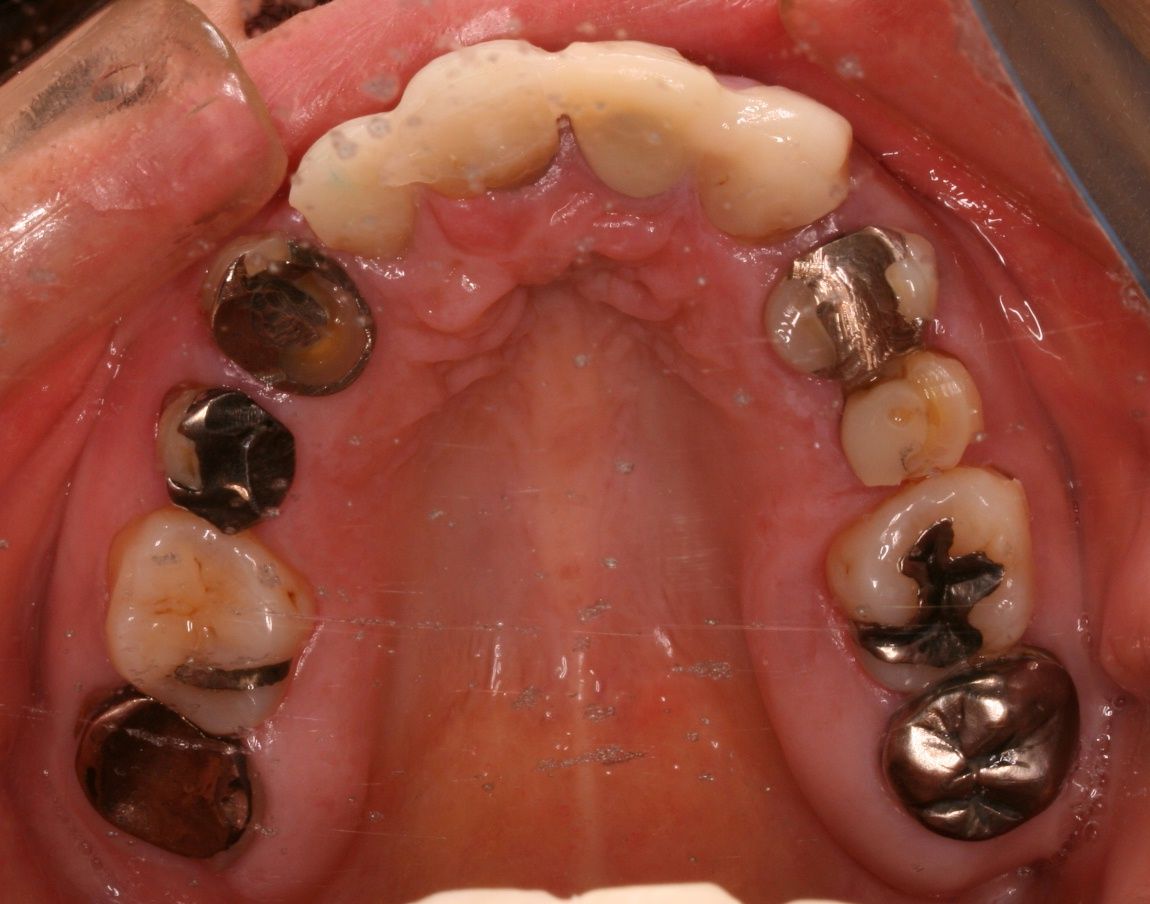
前歯の根っこの治療を終了して仮歯を入れたところです。
上からみると向かって左側のみダミーの部分があり、かり歯を入れた右側は仮歯の大きさで隙間をふさいでます。
上下の真ん中の線も不一致ですので、矯正治療で可能な限り顔面の真ん中と歯の真ん中が一致するように努力します。
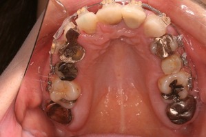
上からみてもだいぶずれているのがわかります。
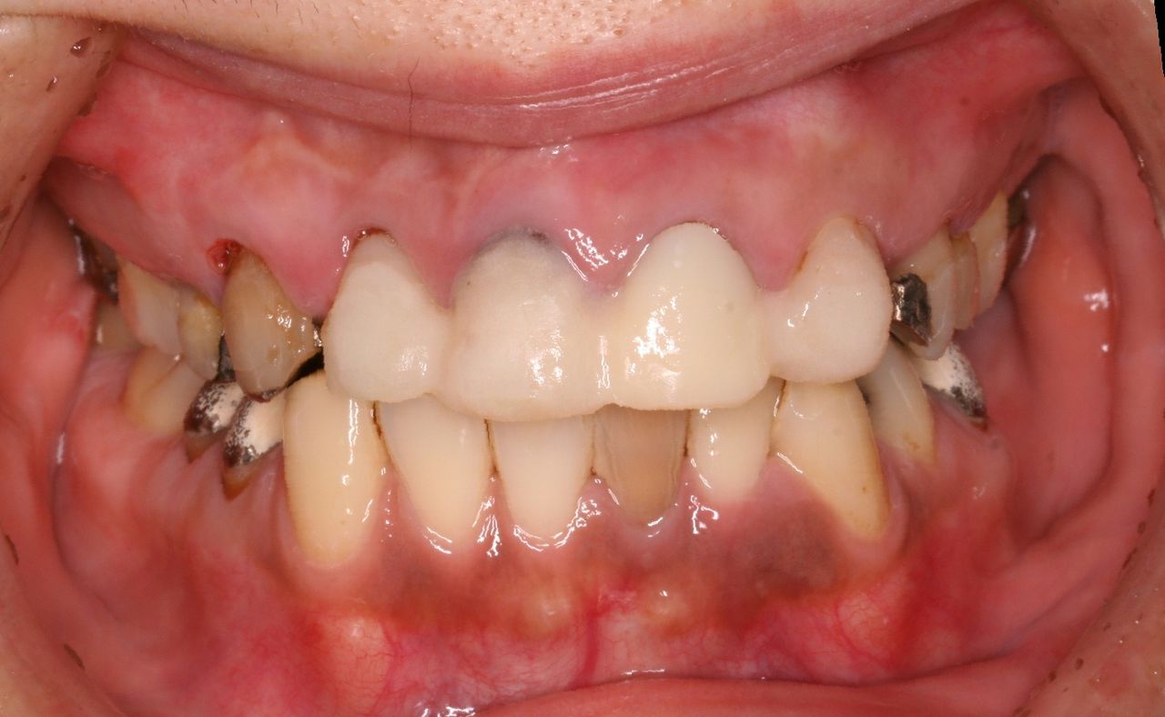
おおよそ1年間の治療期間で歯の根っこと矯正治療が終了しました。
この後、下の前歯1本が暗いのでホワイトニングをし、上下の歯のかぶせ物をやりなおす治療へと移行していきます。
上からみてもかなり左右対称な関係になります。
この方の治療終了は年内目標ですので、年内には完了した画像を動画で提供できたらいいですね!
一塗りで気になる臭いの元を1日中カット
ドクターアロマランス公式HP
![]()





















この記事へのコメントはありません。