みなさまおはようございます
東京のプロ矯正歯科 院長 田中憲男です
サッカー日本代表負けてしまいましたね・・・
ぜったい負けられないコロンビアとの1戦でしたが、前半は1-1の同点でなんとか持ちこたえたものの、
後半に追加点をいれられてしまい1-2となってしまいました。
ここでピッチ上の日本代表の数名は試合をあきらめてしまった人がいたと思います。
なぜなら、ここからがずるずると得点をいれられてしまい、終了時のスコアは1-4でした。
試合時間があと10分長かったら1-5もしくは1-6となっていたと思います。
僕はサッカーは素人ですので、戦術的なことは何もわかりませんが、最後まであきらめない
といった気持ちを継続していなかったのだと思います。
最後まであきらめないといった言葉は一見、泥臭い言葉ですが、たまたま昨日みたTVでおもしろかった番組がありました。
僕は普段、TVは1日30分以内視聴といった人なので、歌手の名前はしっているものの、お笑い芸人やタレントやモデルに関してはほとんど顔と名前が一致しません。
タレントでもハーフタレントや2世タレントはすぐに覚えますが、いわゆるアイドルなどは本当に関心がありませんでした。
あのAKBですら、名前と顔が一致する人は3名くらいしかおりません(笑)
そんな中、元AKBの篠田麻里子さんがTVに出ていました、彼女の人生はネバーギブアップそのものでした。
出だしのAKBオーデションから落選して秋葉のAKBカフェのウエイトレスからNO1の座に辿りついた軌跡をみさせてもらったのですが、その根本にあるものは、やはり最後まであきらめないというシンプルなものでした。
いまさらAKBですが、彼女の人生は他人と比較しても比べ物にならないくらい濃縮した10代~20代だったと思います。
どんなに努力しても最後の最後まであきらめないといった姿勢、ちょっとした最後の1部分の差で人生が変わる良いお手本でした。
僕自身も矯正歯科医師になって20年 開業して10年が経過しました。
その間、いろいろな障壁にぶつかりましたが、篠田さんのインタビューがとても刺激になりました。
僕も原点にもどって精進していくやる気がとても出てきました。
さて、ようやく本日のテーマです
【健診 流れ】リテーナーを装着していれば定期健診をさぼれる?
当院の場合 定期健診の流れは
ワイヤー矯正終了後 1ヶ月検診
ワイヤー矯正終了後 3ヶ月検診
ワイヤー矯正終了後 6ヶ月検診
ワイヤー矯正終了後 10ヶ月検診
ワイヤー矯正終了後 14ヶ月検診
ワイヤー矯正終了後 20ヶ月検診
ワイヤー矯正終了後 26ヶ月検診
以降、患者さんの状態や希望などによって6ヶ月~1年に1回の頻度で検診
といった流れです。
ワイヤーがはいっているときは月に1~2回の診療でしたので、年間に直すと15回くらいの診察でした。
それに比較すれば、1年に3~4回といった診察の頻度はたいした問題ではないと思います。
ここで重要なことは、矯正治療に限らず成人の75%以上は歯周病に罹患しているといわれております。
院長の私も相当丁寧にブラッシングしておりますが、歯周病になっている部分があります。
つまり、歯ブラシとか歯間ブラシでは清掃に限界があるのです。
そういった部分をメンテナンスしていかないと、良いかみ合わせは維持できません。
ところが、北海道や九州に転勤等で移動してしまった人はどうすれば良いのでしょうか?
永遠に東京にもどることがないのであれば、転医も検討しますが、 転医といっても数万~10数万の費用が発生する場合もございます。
それなら、歯周病の管理については 近所の歯科医院で定期的にみてもらい、矯正治療については来れるときにメンテナンスにきてもらうといった方法が理にかなう場合もございます。
本日の患者さんはそんな1例です
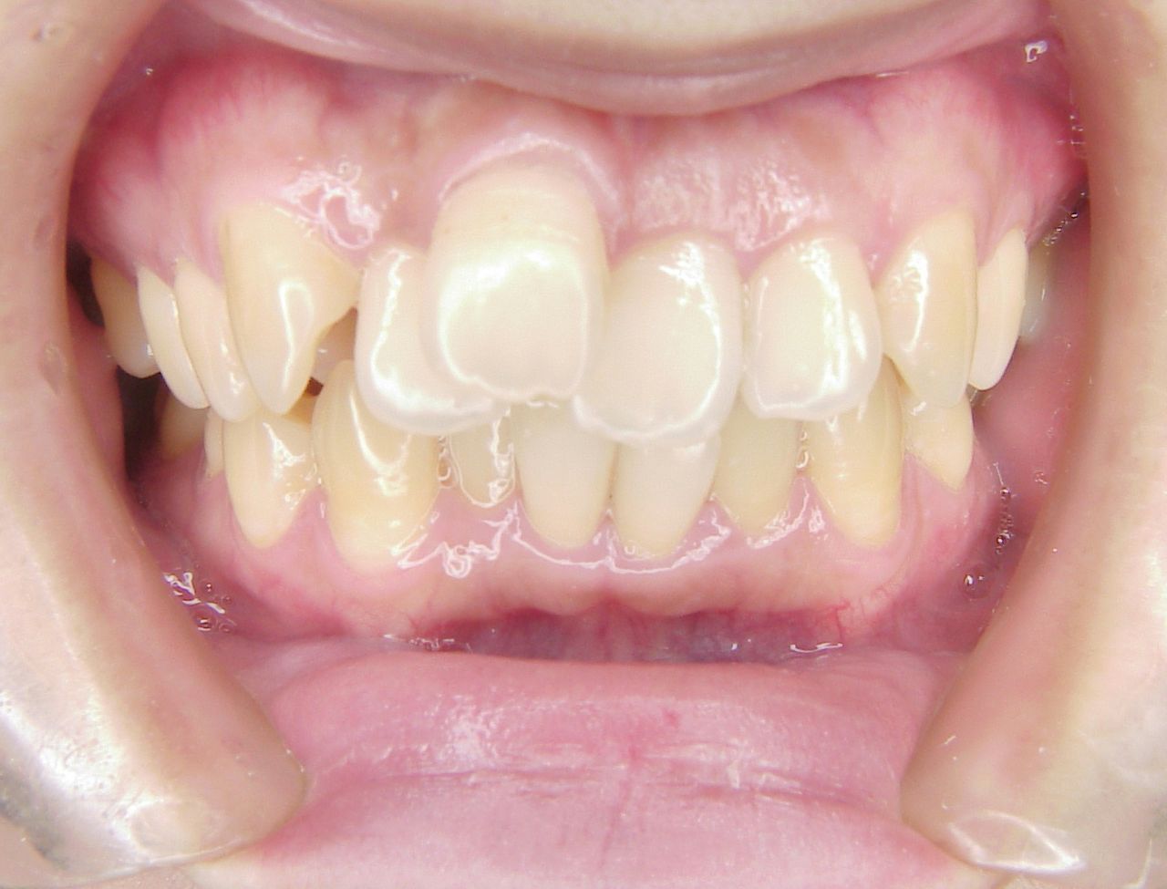
初診時はこのような状態でした。年齢は36歳 女性です
これくらいガタガタだと 口も閉じずらいので本人も抜歯しなくてはキレイに歯が並ばないということを認識してくれるので説明が楽です!
誤って口唇を切ってしまうことがたびたびあるそうです
装置装着です
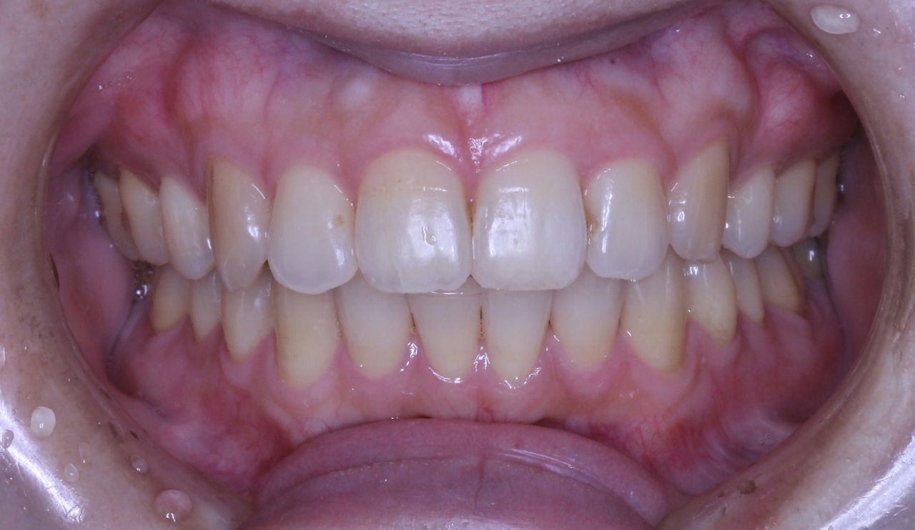
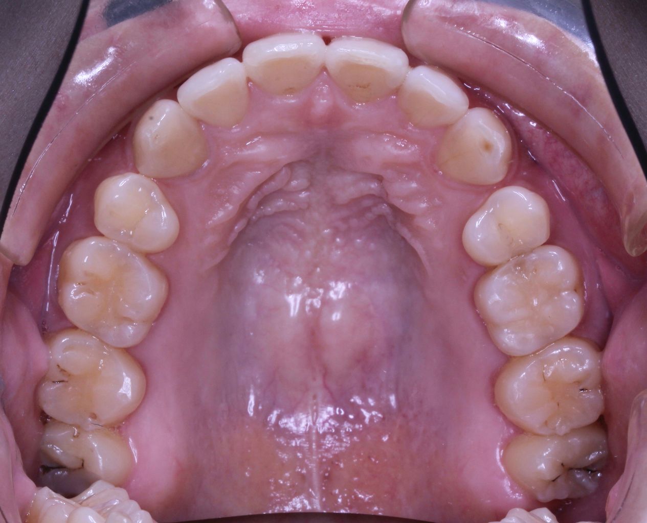
かなり良く治ったと思います。
下顎の叢生を親知らずの抜歯のみで改善したので、歯列の安定が心配でした。
この後、1年間程度は通院できたのですが、家庭の事情で遠方に移動することとなりました。
そのときの年齢が40歳くらいでした。
個人差がありますが、35歳をすぎたあたりからは歯周病のケアは必須と考えてます。
したがって、近隣の歯科医院で歯周病のメンテナンスはおこなってもらい、矯正治療は来れるときにきてもらうような対応としました。
もし、装置が破損した場合は近隣の歯科医院で歯型をとってもらい、装置と歯型を宅配便で送ってもらうといった方法です
現在、矯正治療終了後おおよそ6年が経過しました。
4年間くらいは来院されなかったのですが、先日東京に来る用事があるとの事で、久々に錦糸町に来てくれました
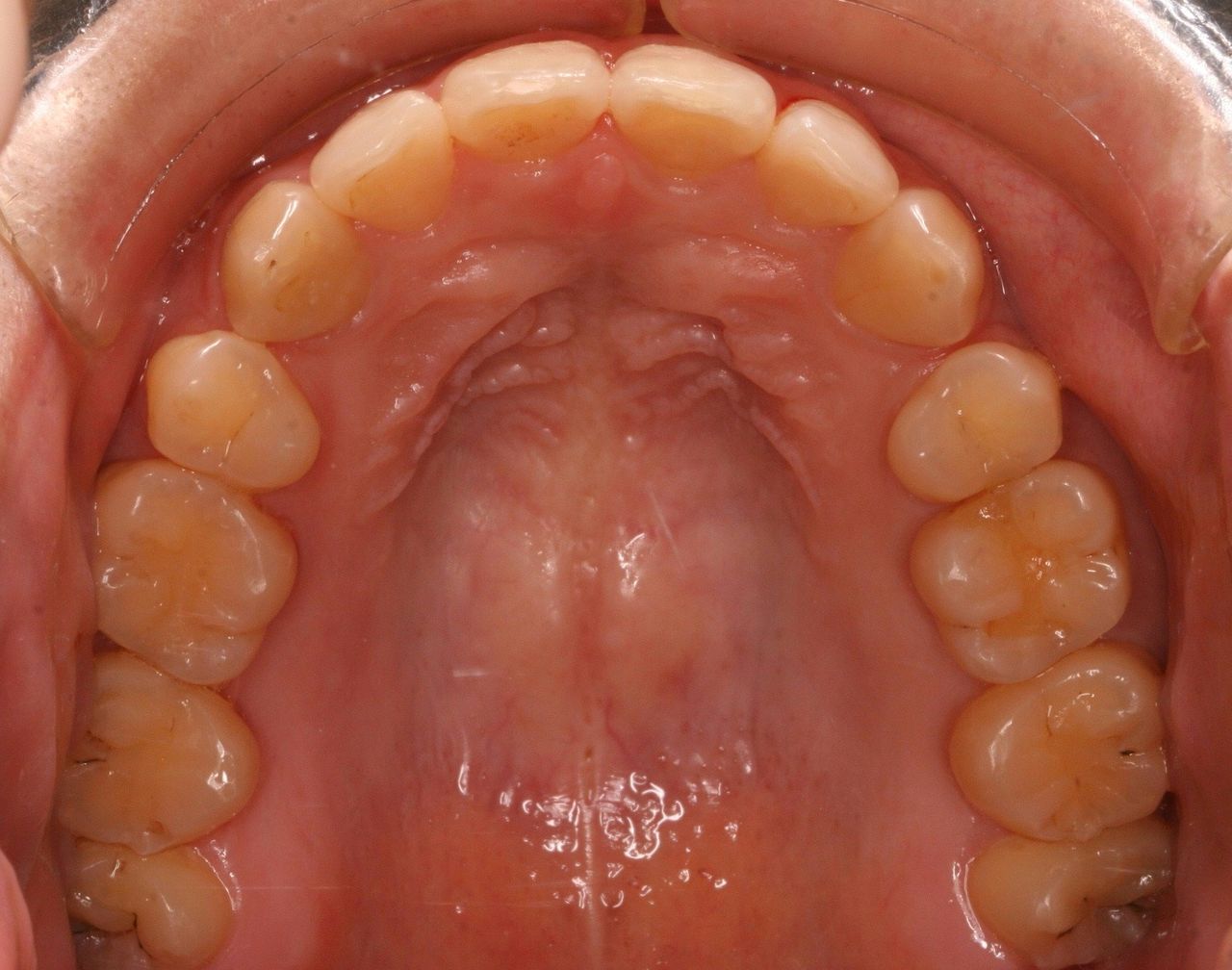
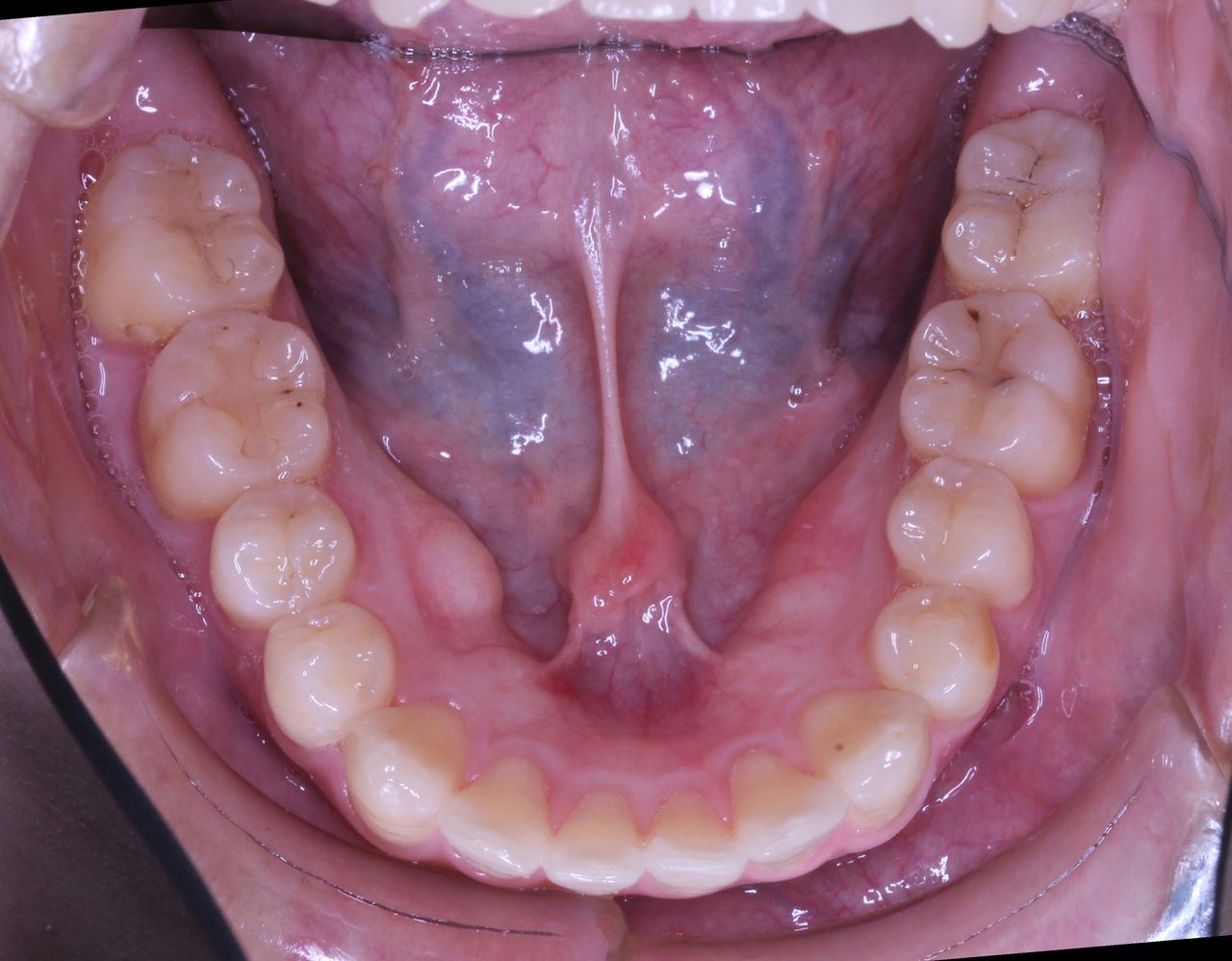
そのときの写真です
4年間、1回も定期健診を受けていないにもかかわらず良好な咬合状態でした。
現在の年齢が44歳でこの咬合状態をキープできた勝因は
1:歯周病のメンテナンスをきっちりと受けていること
2:リテーナーを最低限の時間は使用していること
これに尽きると思います。
ちなみにリテーナーの使用時間は 週に2~3日 夜寝るときだけです。
1日6時間睡眠としたら、週に12~18時間といったことです。
しかも寝るときだけです。
最低限のメンテナンスをするだけで、素敵な40代を迎えることができました。
健康.美容を継続するにはあきらめないことですね!
それでは今日も1日がんばりましょう























この記事へのコメントはありません。