みなさまおはようございます。東京のプロ矯正歯科院長 田中憲男です。
ようやく暖かくなったかとおもいきや、冬に逆戻りしそうな天候がつづき、今日は6月の陽気だそうです。このように寒暖の変化が続くと風邪を引くことがおおいいですので、僕の場合は厚着をして対応しております。おかげさまで開業8年間1日も休んだことも遅刻したこともありません。
そういえば、昨年の大震災の時も欠勤も遅刻もせず(実は診療所に寝泊りしていました。)朝サウナの風呂を借りて通常どおりに診療しておりました。
4月に入ってから顎変形症手術をお願いしている先生の1人が移動となりました。
そのため、春休みに手術予定していた患者さんは全員4月以降の手術に変更してもらう方向となったこともあり、4月~6月にかけては本当に多くの手術を控えております。上下顎骨きり手術だけで6例。また、下顎骨切り手術も同じ程度予定しております。
前回のブログで紹介してOMSガイドの方も手ごたえ十分ですので、これからはシュミレーションサージェリーがいよいよ現実的な方向に進むこと間違いないでしょう。今年の6月18日から開催される日本顎変形症学会もこのテーマがメインテーマとなってます。
一般的に顎変形症の矯正治療は一般矯正治療よりも難易度が高いです。
当院にこられる患者さまの多くは難易度が高い方が多く、顎変形症でない通常の不正咬合患者さんでも難しい人が本当に多いいです。
自分の目が届かなくなるほど患者さんを入れてしまうと、治療の質が落ちるのは明らかなことですので、予約人数には制限をつけております。
矯正治療を真剣に考えていれば予約を守るのは簡単なことですが、そうでない人や忙しい人は他の医療機関を受診されたほうが良いことも考えられます。やはり、予約をとりずらいというのは患者さんにとっては非常にマイナスなポイントです。
ただ、組織を大きくすると質が落ちるのは明らかですので自分の考えはこれで良いと思っております。
本日のテーマは
歯を抜きっぱなしにしておくと、とんでもないことになります!
一般的に歯の本数は親知らずを除くと28本あります。
これが1本なくなったとした場合28-1=27本となります。
矯正治療で4本抜歯すると28-4=24本となります。
では、矯正の抜歯と一般的な抜歯はどこがちがうのでしょうか?
矯正の抜歯は治療計画にもとずいて抜歯するため、残りの歯の機能を100%活用するためにおこないます。
たとえばこのような状況の場合、犬歯はまったく機能しておりません。
これを抜歯して矯正治療をおこない、他の歯を100%機能させております。
ところが、患者さんの中には抜歯するだけで歯並びが良くなると思っている人もおります。
これは非常に危険な行為です。
例として、出っ歯を改善するために抜歯をして上の前歯を後方に移動しましょうとした場合、抜歯するだけで前歯が後方に移動すると思っていることです。
このようなことをしてしまうと大変なことになります。
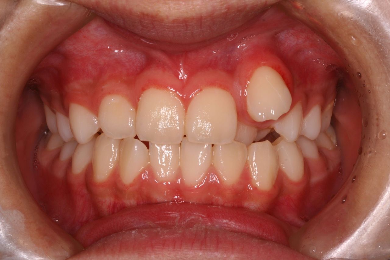
たまたま、他の医院で矯正診断をして抜歯したまま放置してしまった患者さんが来院されました。
本人は1年くらい放置といっておりますが、僕の予想ではそんな期間でなないと思います。
この状況はかなり深刻です。
上下のかみ合わせも大変な状況です。
こういう状況になってしまいますと、元の先生のところにはいけないと思います。
また、場合によっては他医院にいっても治療を断られてしまうと(つまり治療不可能)といわれてしまう可能性も高いです。正直、私も通算2000症例近く診断をしてきましたが、この状況ははじめての経験でした。
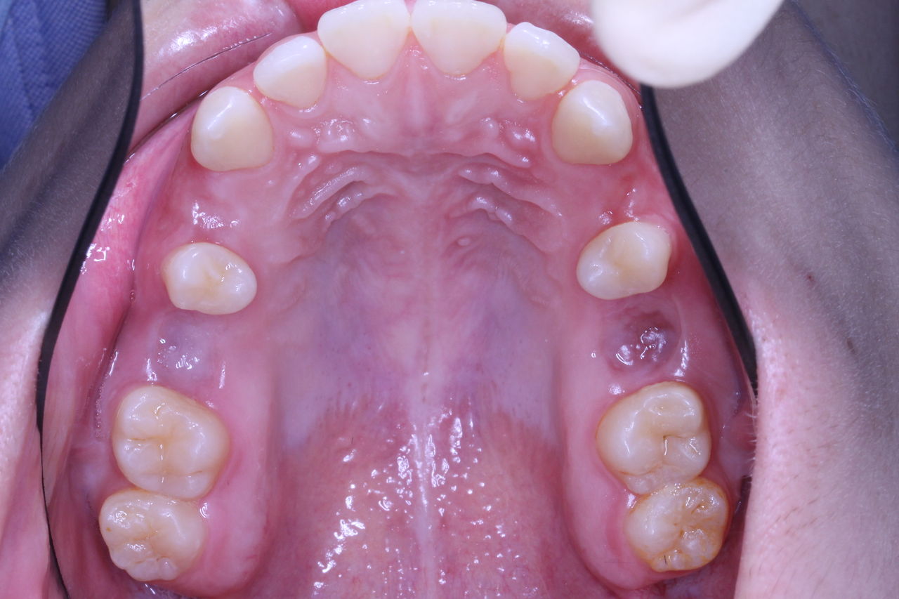
ここまでは矯正のための抜歯についての話でしたが、虫歯や歯周病で抜歯したまま放置してしまうとどのようになるかです。
このように抜歯したまま放置しておくと向かい側の歯がのびてきてしまいます。
よくみればわかりますが、歯茎と歯がかみあってます。
正面からみると、普通のガタガタな歯並びですが、機能的には大変な状況です。
このまま放置が続くと、やがて前歯が折れることになります。
理由は奥歯のサポートがなくなった結果、前歯の負担が増加してしまうからです。

こんな具合です。
どんな状況でもベストな結果を求められるのがプロとしての仕事ですが、上記の症例は治療方法や手順などは院長にすべてお任せといった方針でやらせてもらわないとゴールは見えてきません。
つまり、患者さんの要望や希望を聞いていると治らなくなる可能性がでてきます。
さきほどの患者さんの治療経過です。

さあ、今日もがんばっていきましょう!





















この記事へのコメントはありません。