みなさまおはようございます。東京のプロ矯正歯科院長 田中憲男です
本日は始発にてプロ矯正歯科に到着しました。 理由は来週から開催される日本顎変形症学会の発表ポスター制作でした。原稿の印刷締切は月曜の午前中です。当然、月曜の午前中は患者さんの治療が入っておりますので、実際は本日の土曜と明日の日曜が残り時間です。学生時代から締切ギリギリはきらいな性格でしたので、なんとしてでも1日前の本日土曜日に完成しなければということでがんばってきました。
幸い、前回のブログでも記載したとおり、本日土曜はなんと患者さんが全く予約はいっていない時間帯がちらほらとあります。土曜日に関しては今年の1月から本日まで予約が空くことなどまったくなかったので少々びっくりしております。これも神様がくれたご褒美ということで、ポスター制作も一区切り(とりあえず縮小印刷してみてチェック段階)まできたので、ブログの更新にとりかかります。
じつは、ブログにはPVとアクセス数があり、更新の頻度がおおかったり、記事が面白いと当然アクセス数が向上します。 僕の場合アクセス数はあまり興味がなく、PVページビュウ つまり、どれだけ記事をみてもらえたかが大切にしている指標でした。 今年の初めには30000PVをクリアし、ついに5月は念願の40000PVを突破しまいた。 ちなみにアクセス数は累計で約56万人 月の来訪者は約1万人 日に来訪者は300人です。それでの人気ブログランキングでは最高が2位で1位になったことは一瞬たりともありません。
できれば一瞬でかまわないので、1位になってみたいものです!
それでは恒例のポチっとお願いいたします。(すぐに元のページに戻れます)

歯科医 ブログランキングへさて、前回と前々回と虫歯抜歯での歯列矯正治療が好評でした。
今回は虫歯ではないのですが、神経をとっているなどの理由で歯の状態があまり良くなく、どうせ抜歯するなら状態の良くない歯を抜いたほうが良い治療になるのでは?といった歯列矯正治療の症例でした。
このような状態の良くない歯を抜歯することの最大のメリットとしては
矯正治療後に一般歯科治療をする頻度が大幅に減少する可能性が高くなります。
理由は悪い歯を抜歯してしまうわけですから、病気(虫歯や歯が取れる)といったリスクが減少します
一方で、治療していく上では本来なら4番目の歯を抜歯したほうが治療期間が短くて済むのにな?といった危惧もあります。
つまり、将来的(長期的)には悪い歯を抜歯したほうが良い結果が得られる反面、矯正治療期間が大幅に長くかかることが確定されるので、結婚などを控えている人の場合は不向きな場合もございます。
つまり、人生において歯列矯正治療をおこなう目的を明確にする必要があります。
しかも、今回の症例のような抜歯部位は一般の矯正歯科ではほとんどおこなうことはないと思ってよいです。
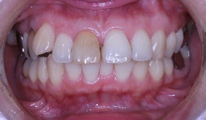
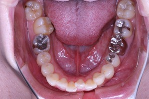
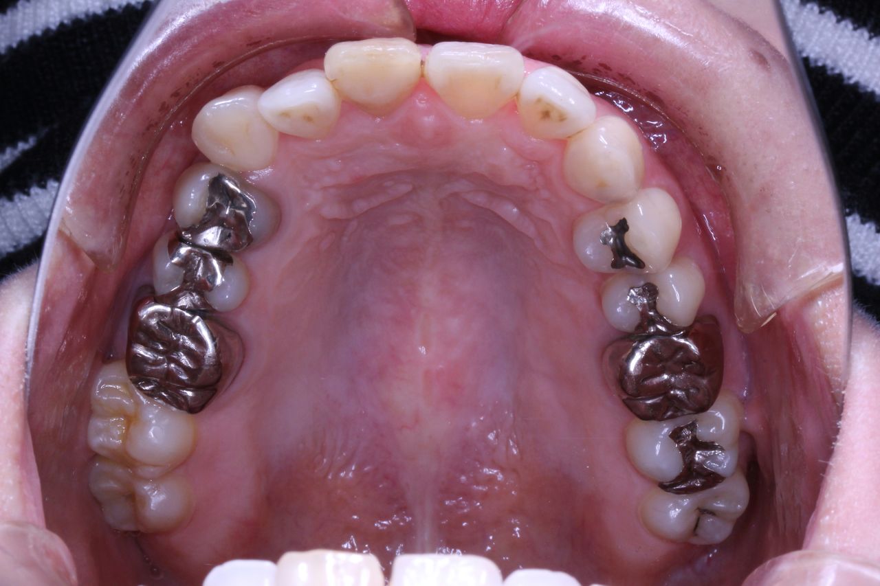
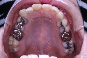
それでは本日の症例です
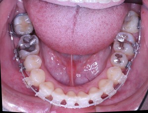
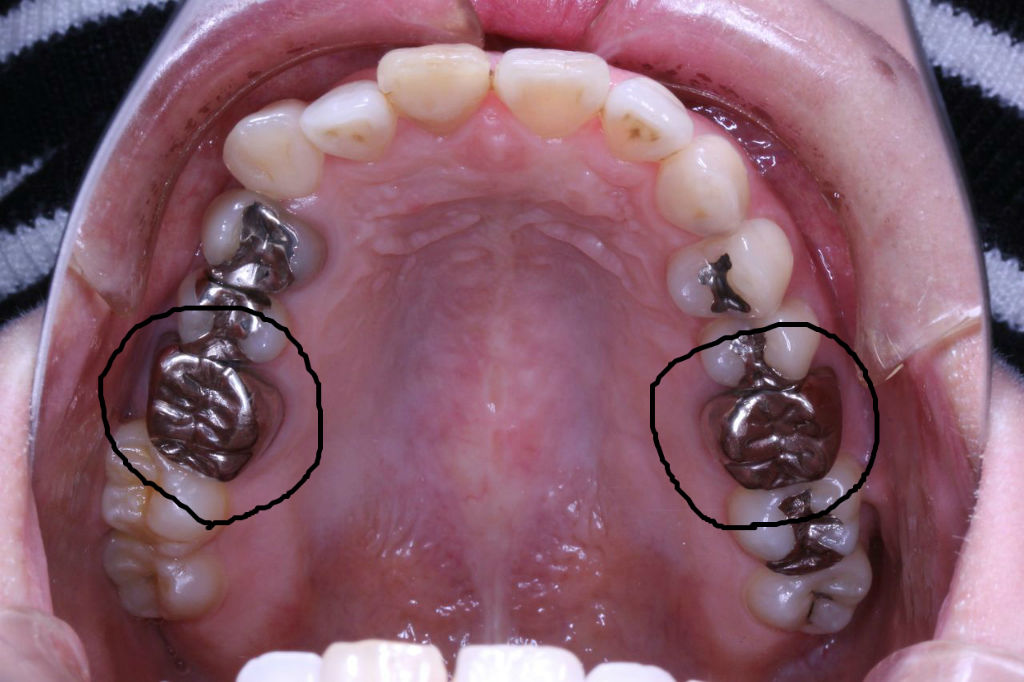
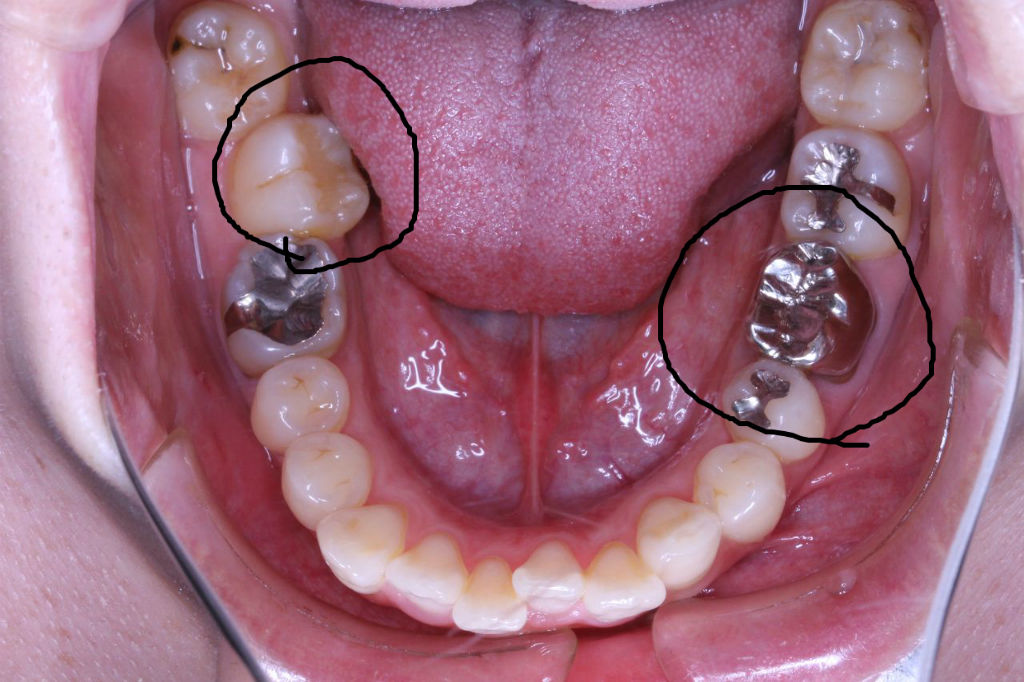
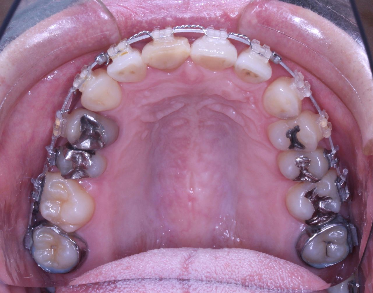
虫歯治療はきちんとされてますが、奥歯に全部銀歯の状態の歯があります。
当然、神経もない歯です。治療されたのはだいぶ前とのことでした。
患者さんの主訴は口元をひっこめたいでした。
そうなると抜歯しての歯列矯正治療は必須です。また、口元の改善を考えると、前歯よりの歯を抜歯したほうが治療的には容易です。
しかしながら、いつ治療したか記憶にない銀歯があります。神経もとってしまってますし、中がどのような状態になっているか把握できません。治療中に歯がとれてしまい、結果的に抜歯となってしまう可能性もございます。
結論としては、治療期間が長くかかってもかまわないので、銀歯を抜いて矯正治療をしたいとのことでした。
過去の論文ではこのような大臼歯抜歯を伴った歯列矯正治療の場合は平均で3年以上の治療期間が必要になると報告されてます。
つまり、通常の4番抜歯であれば1年6ヵ月~2年で終了するのが大臼歯抜歯の結果治療期間が3年になってしまいます。
この両者を天秤にかけるのが患者さん自身の価値観だと思います。
ぼくは個人的には4番抜歯で治療期間1年6ヵ月でも良いと思ってます。ただし、矯正治療あとに一般歯科治療の機会が増加すること、ならびにそのための出費が増えることも想定範囲にすれば構わないのです。
同じ症例でも抜歯部位によっては治療期間が2倍もかわるとはびっくりと思います。治療期間が2倍になっても料金はさほどかわらないのですから、治療を引き受ける側からすると早いほうが効率は良いです。
つまり、すべてをきちんと説明して最終的判断は患者さん自身がすればよいのです。
どんな処置でもメリットとデメリットは必ず存在します。メリットばかりではないのです。これは重要です。
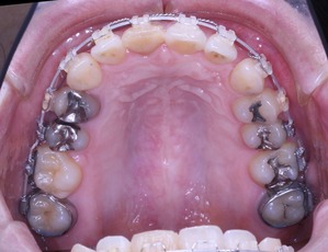
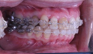
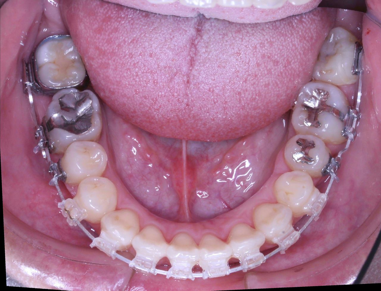
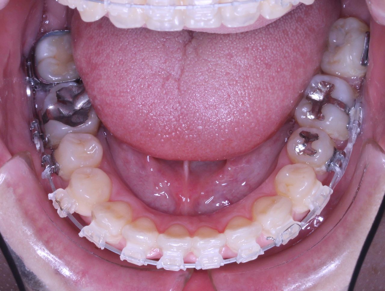
それでは治療経過です
少し経過が進みました
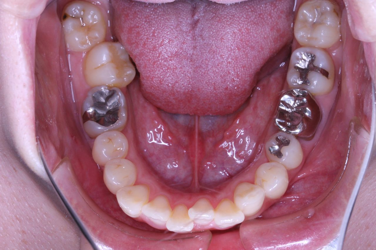
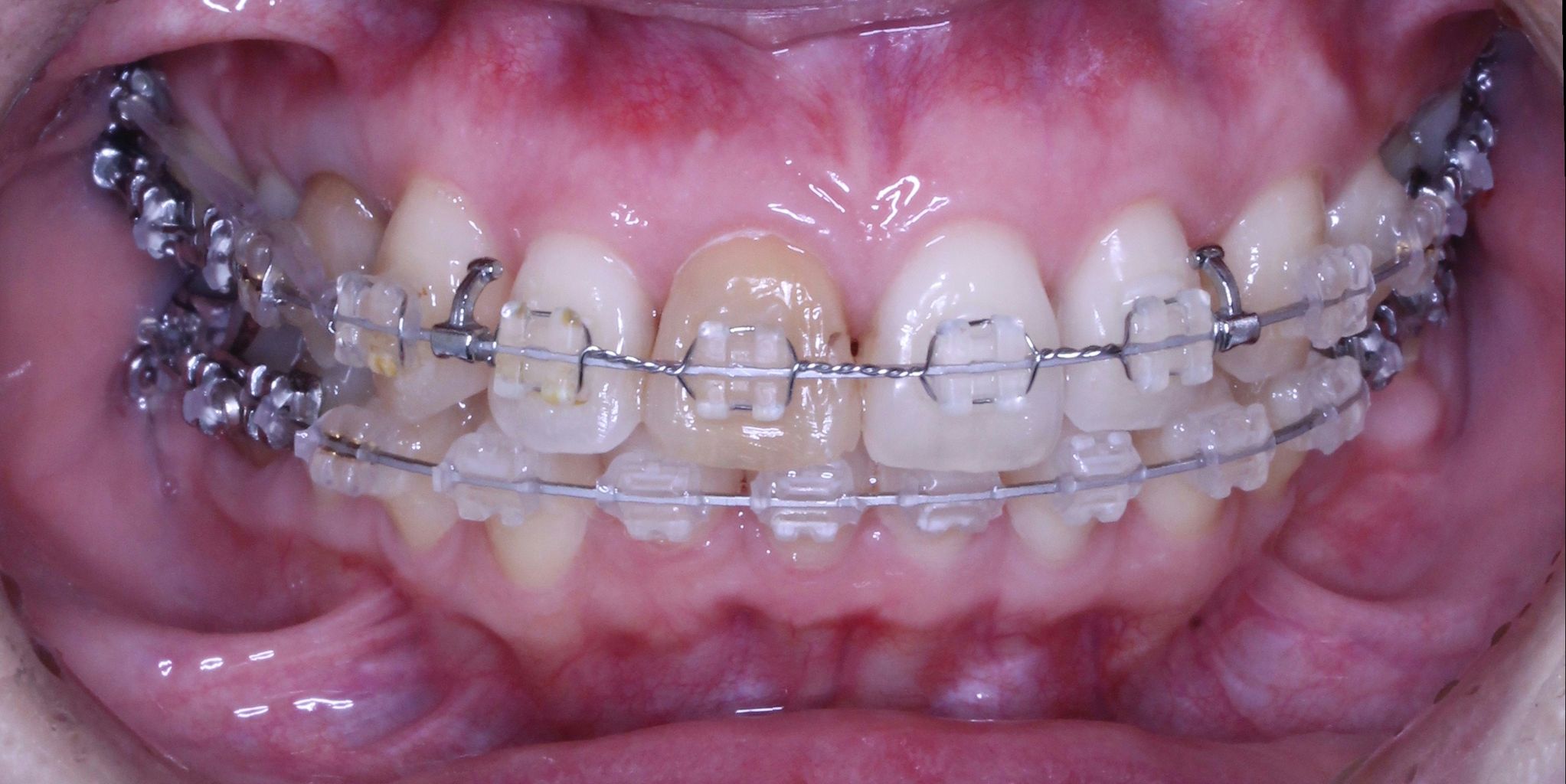
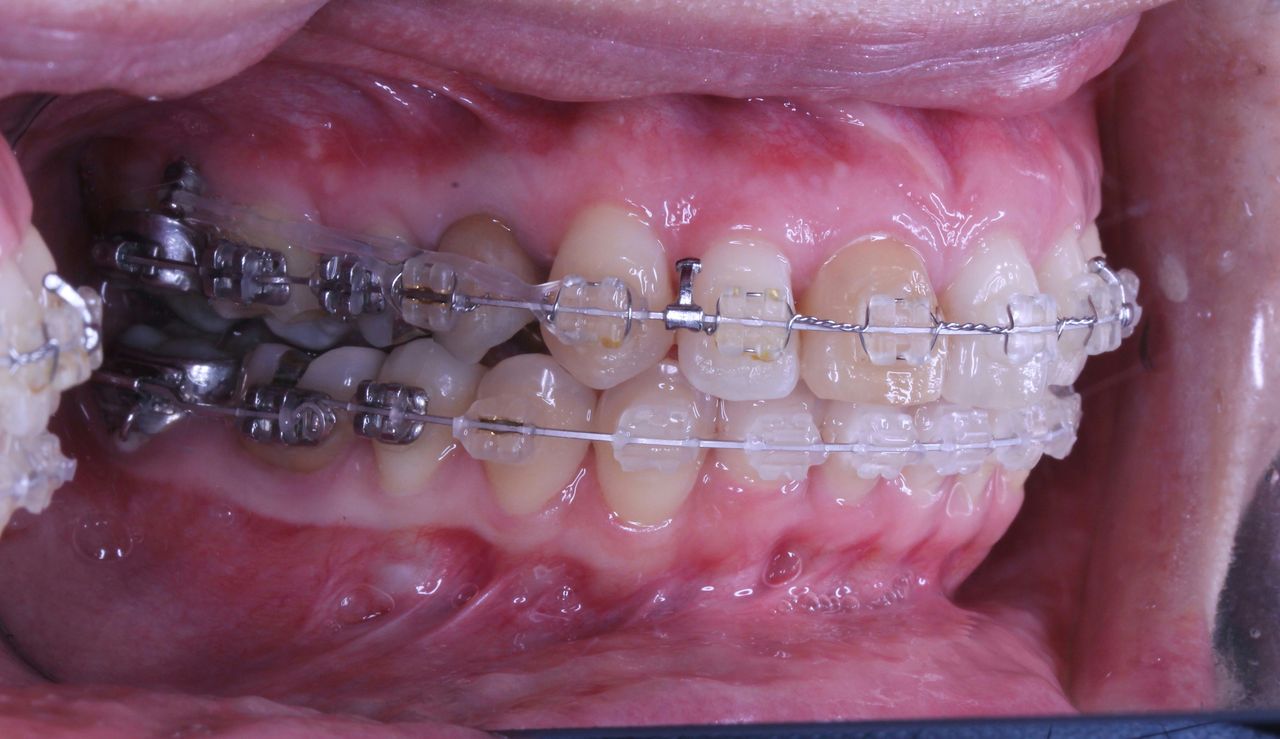
治療開始から3年経過した現在の状況です
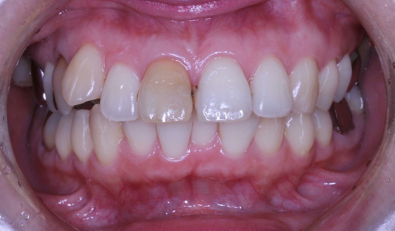
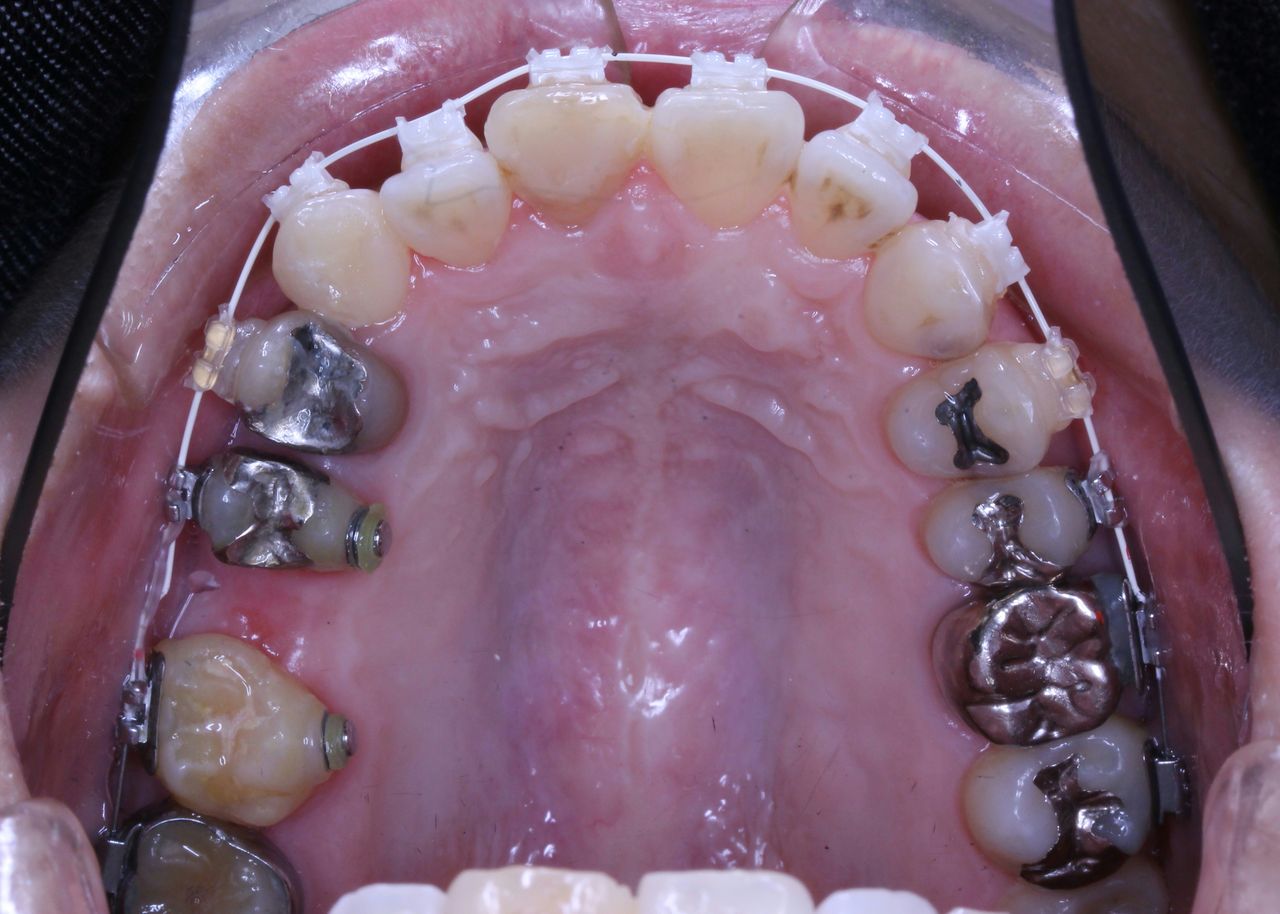
もともとは
上の歯列はどうでしょうか?
このように長期的な歯列矯正治療になる場合は患者さんの理解も必要になってくると思います。
したがって、どうしてもやりたいという希望がない場合はこちらとしてもあまりすすめたくないのも事実です
通常の症例が抜歯部位を変更するだけで、難症例になってしまいます。
難症例になってしまうと、引っ越しや転勤等でクリニックを変えるとき、受け入れ先の医院がなかなかみつからなくなってしまいます。
矯正治療は診断はだれがやっても共通ですが、治療については術者の考えや技量が思いっきりでてしまいます。
最近、セカンドオピニオンというのが流行っており、他のクリニックで治療しているのをコメントしてほしいとの依頼が多くなってます。
なんと、先日は当院で3年前に検査.診断までおこなって
その後未来院でなにもしなかった患者さんが他で治療をおこなっており、その結果がよろしくないそうで相談に来られました。
その患者さんの数年前の画像です
現在は他のクリニックで歯列矯正を一切しない方法で治療を開始しており、かみ合わせがおかしくうまくいっていないような気がするとのことでコメントを求めての来院でした。
このような患者さんには大変失礼ですが、不用意なコメントは私自身、現在治療担当中の歯科医師から名誉棄損で訴えられてしまう恐れもございます。
結局はセカンドオピニオンなどといったものは、治療開始前におこなうものであり、治療中もしくは治療後については前医師の批判になるにすぎないのです。
みなさまも言葉の定義には十分注意してください。
そして、プロ矯正歯科では 他クリニックで治療中で相談に来られても一切のコメントは遠慮しております。
あしからず、よろしくお願いします。
それでは、本日も1日がんばりましょう!
























この記事へのコメントはありません。