みなさまおはようございます。東京のプロ矯正歯科院長 田中憲男です。
週刊天気予報では本日も雪との予報でしたが、雨でよかったですね。3月に入って暖かくなってきましたし、このまま春になってほしいところです。
この時期は入学や転勤の季節です。先日書いたブログの患者さんも治療途中で転勤になってしまいました。
矯正治療は経過が長く、転勤族の患者さんにはなかなか受けることが難しい治療となってしまいます。
また、最近のお子様は習い事や塾など大変忙しく、希望曜日や時間帯に制限があると通院困難となってしまいます。
多くの矯正専門クリニックの場合、一般歯科での矯正治療と比較すると治療費用が高額な場合がありますが、専門なだけに毎日診療をしております。一方で一般歯科の矯正治療の場合は大学病院の先生などの派遣が多く、先生の交代はもちろんのこと、診療可能な曜日が月に数日と限られてしまいます。
それぞれに利点と欠点がありますので、みなさんの事情に沿った医院選びを行うとよいでしょう。
本日のブログの症例は何にしようかと考えていたのですが、ここ数日当院のスタッフの退職等でもバタバタしており、写真は撮影してもPCに取り込む作業ができないことが続いております。
当院のスタッフの退職理由も旦那さんの転勤のためですので仕方ないことですが、会社の転勤辞令は1月から長くても2月ですから大変なものです。
急遽、退職するスタッフの代わりを採用しなければならなくなり、求人雑誌やハローワーク、その他いろいろと雑用が増えてしまいました。
診療以外の雑務はなれていない分、いろいろと面倒です。
良い人材を雇用できるようにがんばっていきます。
一方で
3月は外科矯正手術が夏休みの次に多いい季節です。
そんな中、夏休みに手術した外科矯正治療の患者さんの矯正装置が取れました。
患者さんのリクエストで装置を外した写真が欲しいとのことでしたので、今PCに取り込んでる所です。
この方は以前にもブログに掲載させていただいたので、今回は最後までの治療経過を見せることができました。
【治療方法 期間】経過を画像で見る、外科的矯正の一連の流れとは?
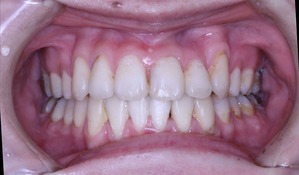
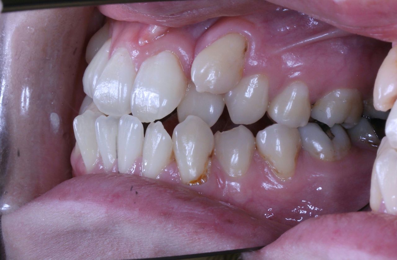
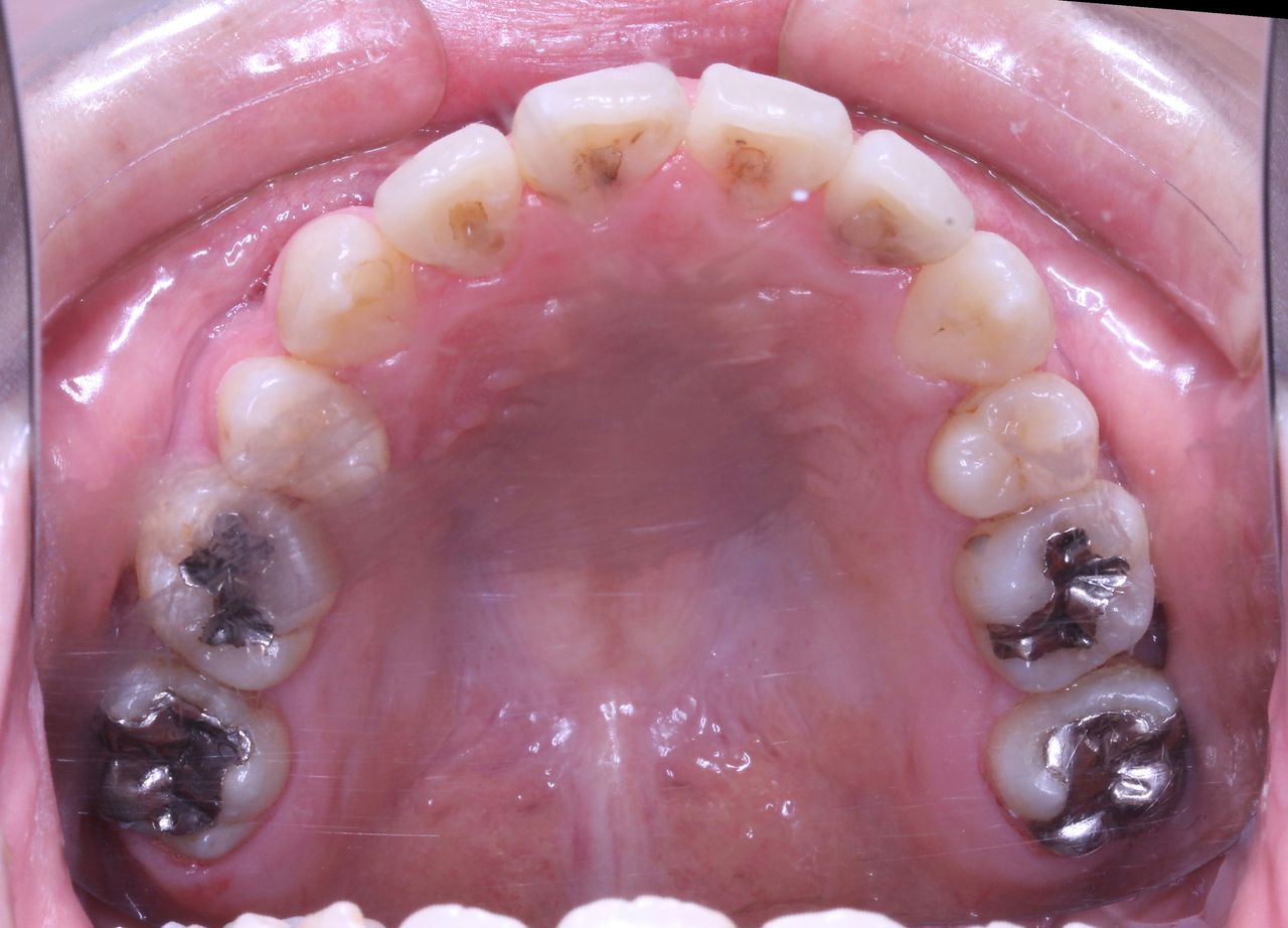
それでは初診の状況です
もともと犬歯が八重歯の状態でした。
成人の患者さんで八重歯の人の場合は八重歯が動かない場合があります。
確立的には5000人に1人といわれておりますが、私は過去に2人経験しております。
けっして10000人も治療してはおりませんが、3000人くらいは治療してきたと思いますので、1人くらいは遭遇してもおかしくはないと思います。

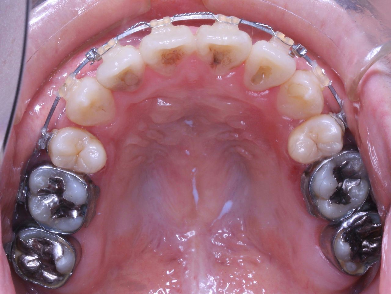
このように上顎と下顎を比較した場合、上顎のほうが治療期間が長くかかると判断した場合は
矯正装置を装着する部位も上顎のみとする場合があります。
つまり、
治療ゴールから逆算して準備をすすめているわけですね
本症例は外科矯正治療となりました。
当院では外科矯正治療は健康保険での治療です。
健康保険の治療でも透明で目立たないブラケットを使用しております。
ただし、手術中に万が一外れてしまった場合のことを考えると、まったく透明ではなく、
ワイヤーが入る部分に金属スロットがはいっております。
この金属スロットがあるおかげで、何かあってもレントゲン撮影でブラケットが写るので安心です。
歯列には表側と裏側があるのはあたりまえなのですが、不正咬合を改善する場合、かみ合わせの状況によって、装置をつけるのが表が早いのか裏が早いのかで選択することがあります。
つまり、この段取りの部分をスムーズにおこなうことによって、治療期間が3~6か月は短縮できます。
いわゆる裏側矯正治療などの場合は装置をつけるのが裏と限定されてしまうため
この段取りの部分が遅くなりがちです。
ですので、同じ症例を同じ術者が治療をおこなった場合は表側の装置の方が段取りがしやすい分、裏側装置よりも治療が効率的になります。
ただ、最近は裏側装置も本当に進歩してきたので、僕自身はあまりストレスを感じなく治療をおこなってます。
過去のブログをみていただければわかりますが、裏側矯正治療の割合が非常に多くなってきました。
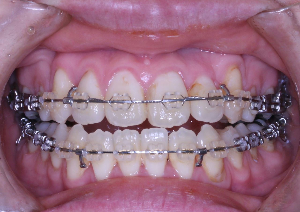
上下の歯に装置がつき、ある程度歯列のアライメントが完成してきました。
外見的には非常によくなっておりますが、咬合(かみ合わせ)としてはまだまだの状態です
このあと、外科手術をおこないました。
一般的な知識としては外科手術の場合 入院期間は1週間前後、 出血は200~400cc
術後1か月は柔らかい食事を中心としてもらい、1か月経過したのちにだんだんと硬いものを食べていきます。
当院では食後のチューインガムを使ったトレーニングをおこなってます。
このチューインガムトレーニングに効果は東北大学で論文にもなっております。
ガムを使ったトレーニングをすることで、あきらな咬合力の回復スピードが変わります。
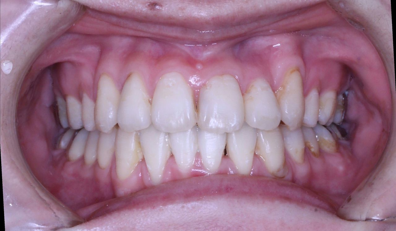
そして、いよいよ装置が外れました!
スタッフみんなでお祝いをしたかったのですが、残念なことに土曜日でしたので診療室もバタバタしておりました。
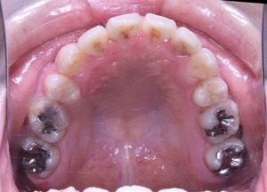
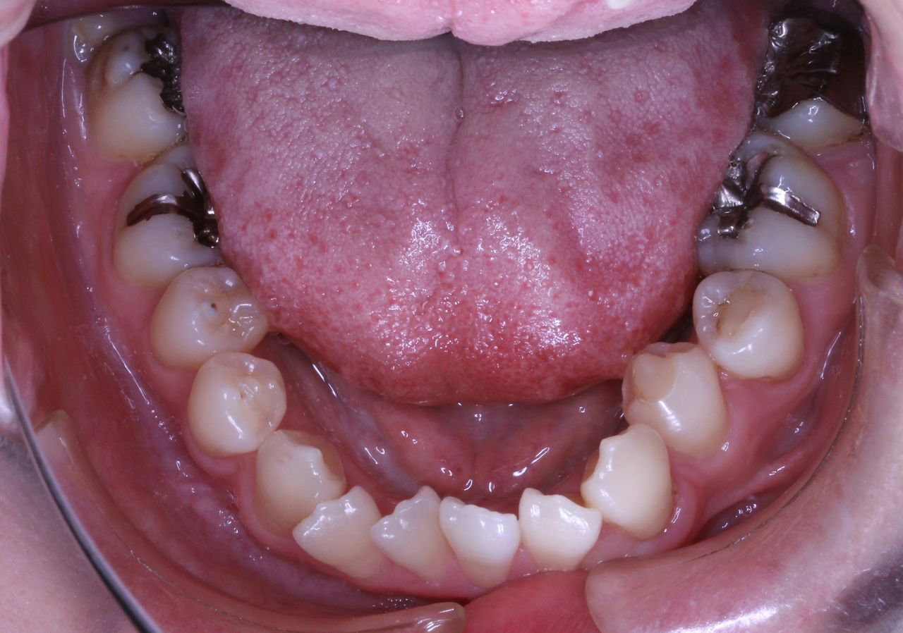
上からみると
横のかみ合わせは
初診時から比較すると本当に美しくなりました。
この状態が2年足らずで
このように変化しました。
今後はホワイトニングを希望されているので、ホワイトニングをおこなっていく予定です。
ホワイトニングの経過も御見せしますので、みなさま楽しみにしていてください!
Fさんよろしくお願いします(笑)























この記事へのコメントはありません。