みなさまおはようございます。 東京のプロ矯正歯科院長田中憲男です!
梅雨が終わり真夏がやってきましたね!それでは恒例のクリックお願いします 
人気ブログランキングへ
本日はちょっと矯正歯科関係の自慢話をさせてください。
一般の人むけに矯正歯科に特化したポータルサイトがいくつかありますが、それなの中でも老舗の1つといわれているものに 矯正歯科ネット というサイトがあります
矯正歯科ネットこのサイトの中では矯正治療開始前、もしくは矯正治療開始中の患者さんが歯並びに対しての悩み事を質問するコーナーがあります。
私はその質問コーナーの回答する先生として登録しております。 登録医は結構な数いると思います。
その登録医の中では質問に回答した数が記載されております。 たとえばA先生は10回回答 B先生は31回回答という感じです 患者さんは全国から質問されますので、多いいときは1日に数件 少ないときでも週に1件程度はくるとおもいます。
なんと、プロ先生は回答数が全国の登録医の中で第1位でした(笑)
回答される全国の先生は100名以上おりますので、その中で回答数1位というのは結構すごいことだと思います。
昨日も同様に1通の質問が届きました。
内容は 歯を正しい順番に並べなおすことは可能か?といったものでした。
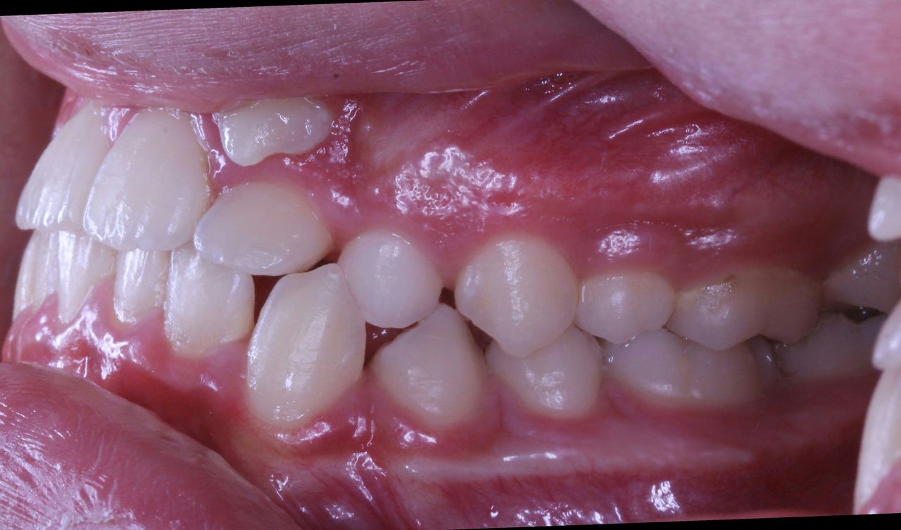
この患者さんのように歯が順番どおりに並んでいない患者さんは結構おります。
多くの場合は順番を正しく並べなおすといったことはおこなわないほうが多いいです。
実は、僕も順番を正しく並べなおした症例をみたのは大学で1回でした。それもきちんと終了したのかどうかは不明です(約20年ほどまえです)
そんななか、当院でも比較的同じような症例に遭遇しました。
普通ならば抜歯するかそのままなのをあえて順番どおりに並べなおすことにチャレンジしてみました。
【歯並び 治療】正しい順番に歯並びを並べ治すことは可能か?
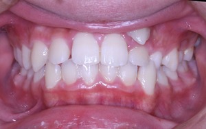
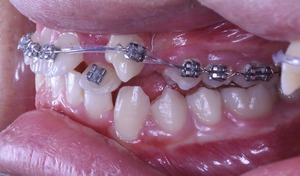
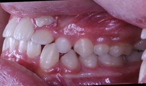
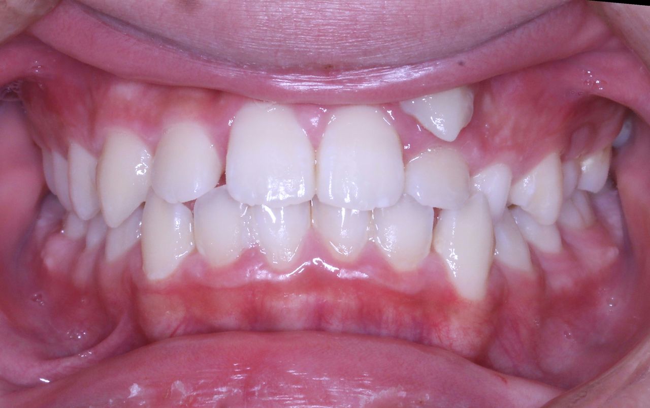
それでは治療開始前の状態です
このように1番目と2番目の歯の間から犬歯3番目の歯が生えてきました。
また乳歯Cが残っているので 歯の順番でいうと
132Cという順番になっております
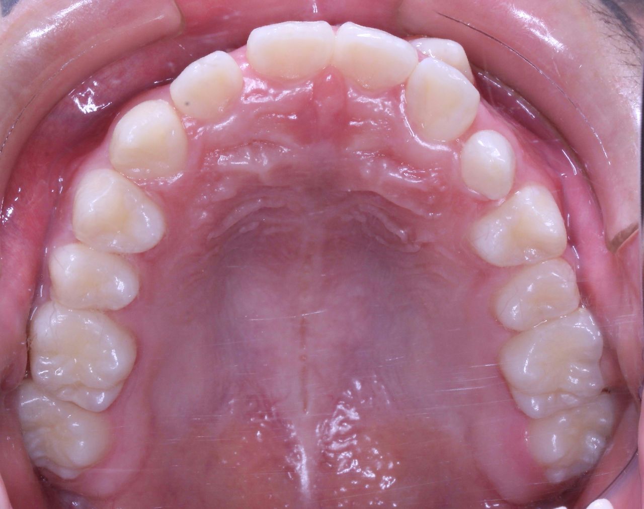
それを
132Cから Cを抜歯して 123という順番に並べなおすのです
大切なことは 歯を移動する際に それぞれの歯の根がぶつからないかどうか?ということと
歯茎の状態が歯の移動に耐えることができるかどうか?また十分な骨の量があるかどうかというところです。
本症例は学童期の患者さんですから歯が動くことは心配しませんでした。
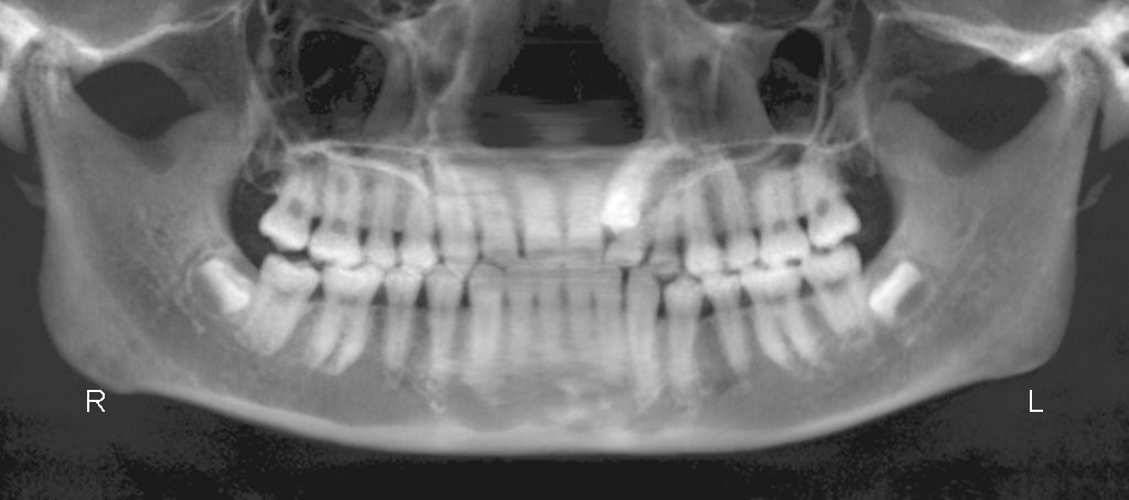
まずは通常のパノラマレントゲンでざっくりとチェックします
さらにCTを撮影して それぞれの根の状態をチェックします

ここでは省略しますが、顎の立体像を構築して 歯の関係と顎の関係もチェックしております
患者さんの説明では 歯が予定どおりに動かない場合は抜歯もありゆるとの説明の元、治療開始しました。
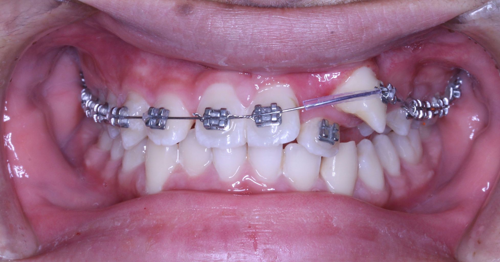
歯を動かすということは、隙間がないと不可能です
なので、まずは犬歯を動かすことができる状況になるようにします
アプローチの仕方は先生によって様々ですが、 大切なことは 上記の注意事項をまもっておこなうことです。
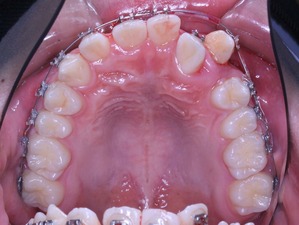
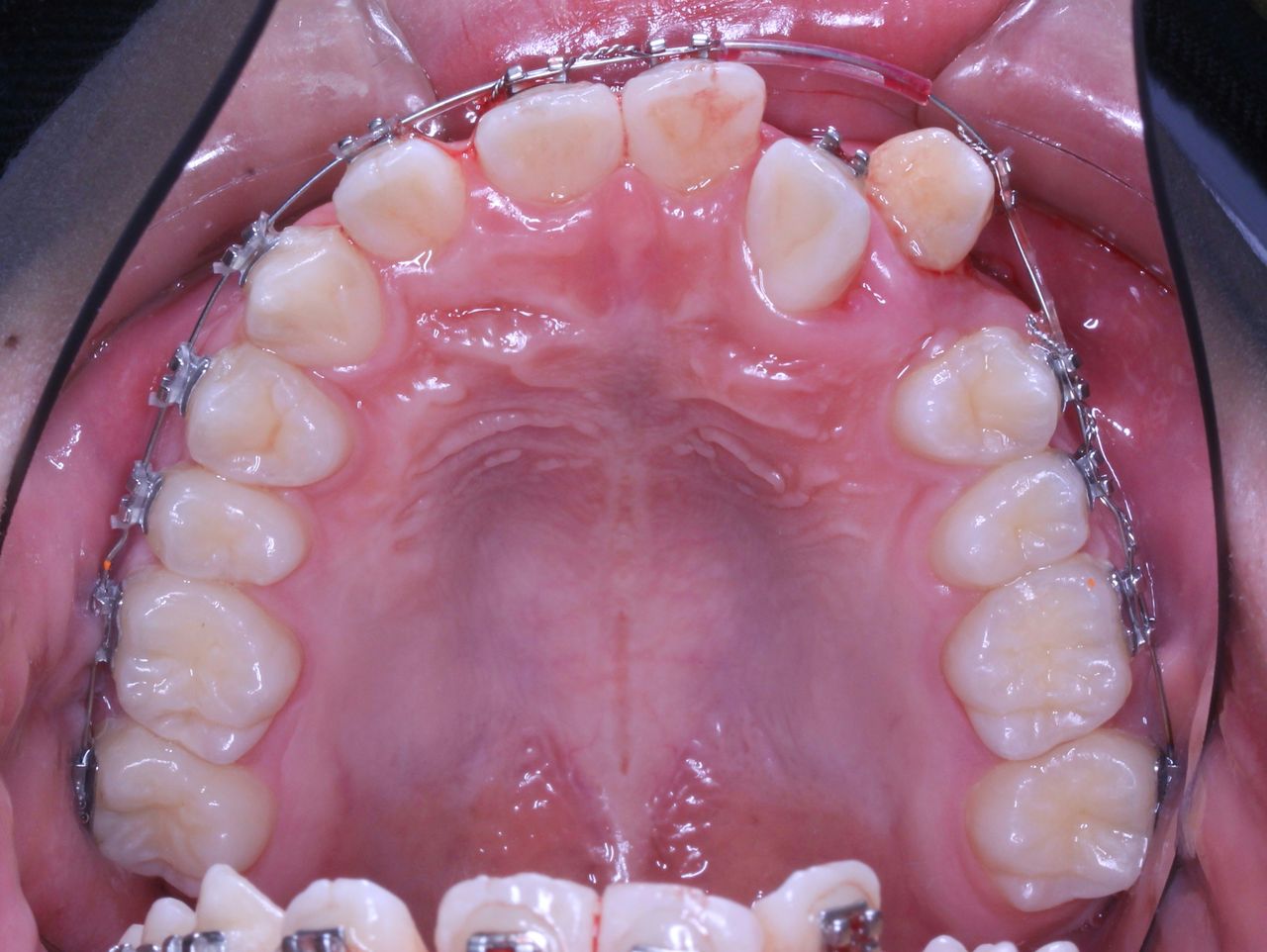
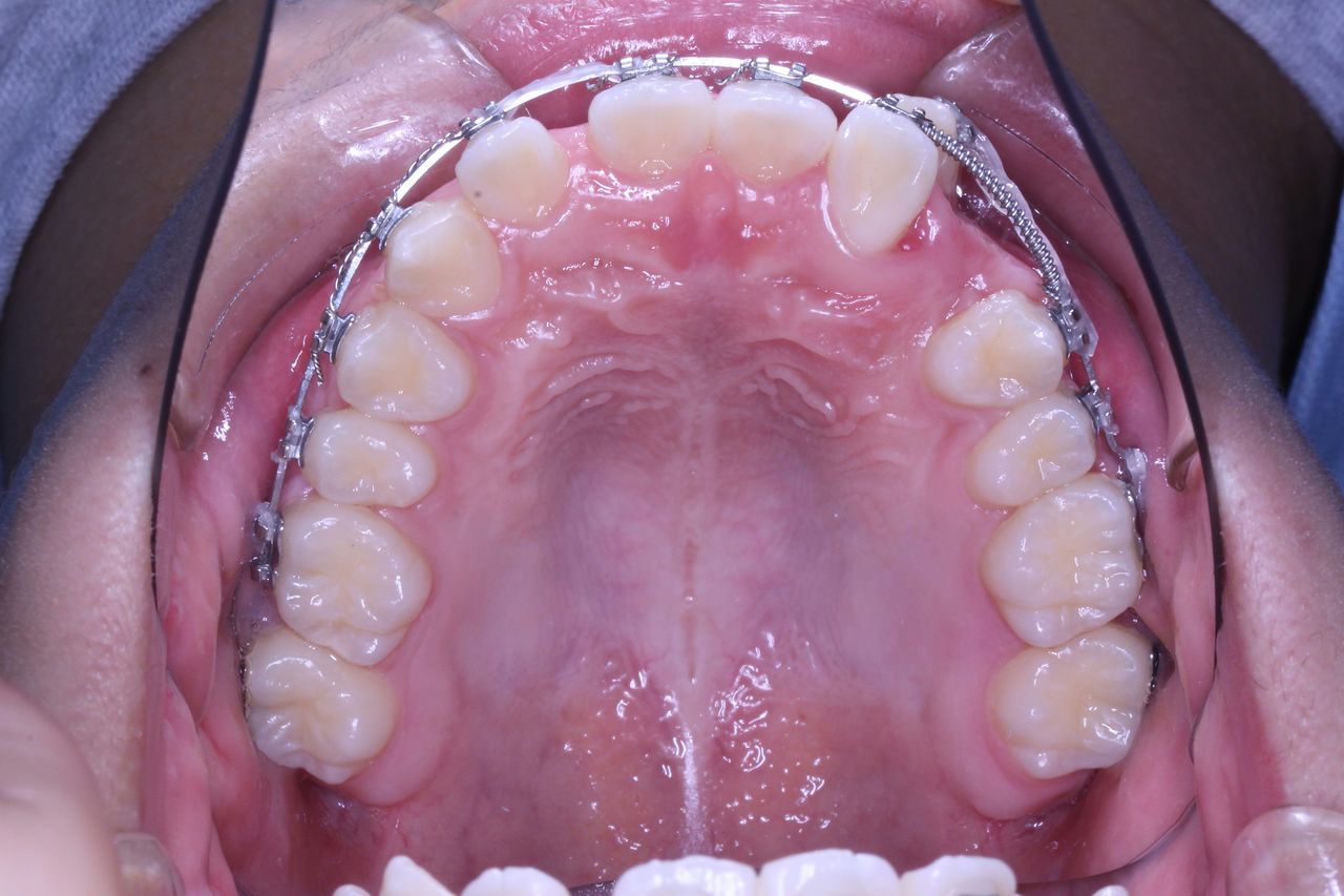
現在の状況はもう少し治療が進んでいるのですが、矯正歯科ネットユーザー様からの質問が昨日でしたので、数か月前の記録ですが、現在の進行状況です
正面と側面の写真をみてもあまり変化がわからないと思います。
上からみてみるとどうでしょうか?
もう少し犬歯が後方に移動してもらえると、2番目の歯が前方に移動可能な感じです
それでは8時になりました。 そろそろ診療の準備をします。
今日も1日がんばりましょう!























この記事へのコメントはありません。