おはようございます。東京のプロ矯正歯科院長 田中憲男です!
寒さの厳しい日が続いておりますが、みなさまいかがお過ごしでしょうか?
私の方は今年2回目のブログ更新です。年末年始寝込んだこともあり、その後は精力的に仕事に取り組んでいます。
また、過去のブログでも書いてきたことですが、体力の低下が実感してきたこともあり、年明けから思い切ってジムに通うことにしました。筋肉をつけることが目的ではないのでジムといってもスイミングです。まだ始めたばかりですが、なんとか継続していければと思ってます。
さて、プロ矯正歯科の方は平日の診療に関しては若干の余裕をもった状況ですが、一方で土曜の予約状況はかなりパンパンです。残念なことに本日希望の患者さんも数名ですが、お断りいたしました。また、来週の土曜日もそろそろ一杯といったところです。 予約変更の場合は他の患者さんのためにも速やかに連絡をお願いします。
また、前日の方がキャンセル等がでてかえって予約が取れる場合もございますので、キャンセル待ちの御希望の患者さまは電話連絡した際、受付にその旨をお伝えください。よろしく御協力お願いします。
今日のブログのテーマはホワイトワイヤーについてです。
裏側矯正装置を希望される患者さんが多いいのは事実ですが、予算的に難しい場合もあります。
結局のところ、矯正治療をしたい希望はみなさま同じですが、予算という問題が発生しますので、裏側矯正治療はやはり高額であります。
そこで、ホワイトワイヤーという選択枝が登場してきます。
【予算 高額】透明で目立たない装置、ホワイトワイヤーについて
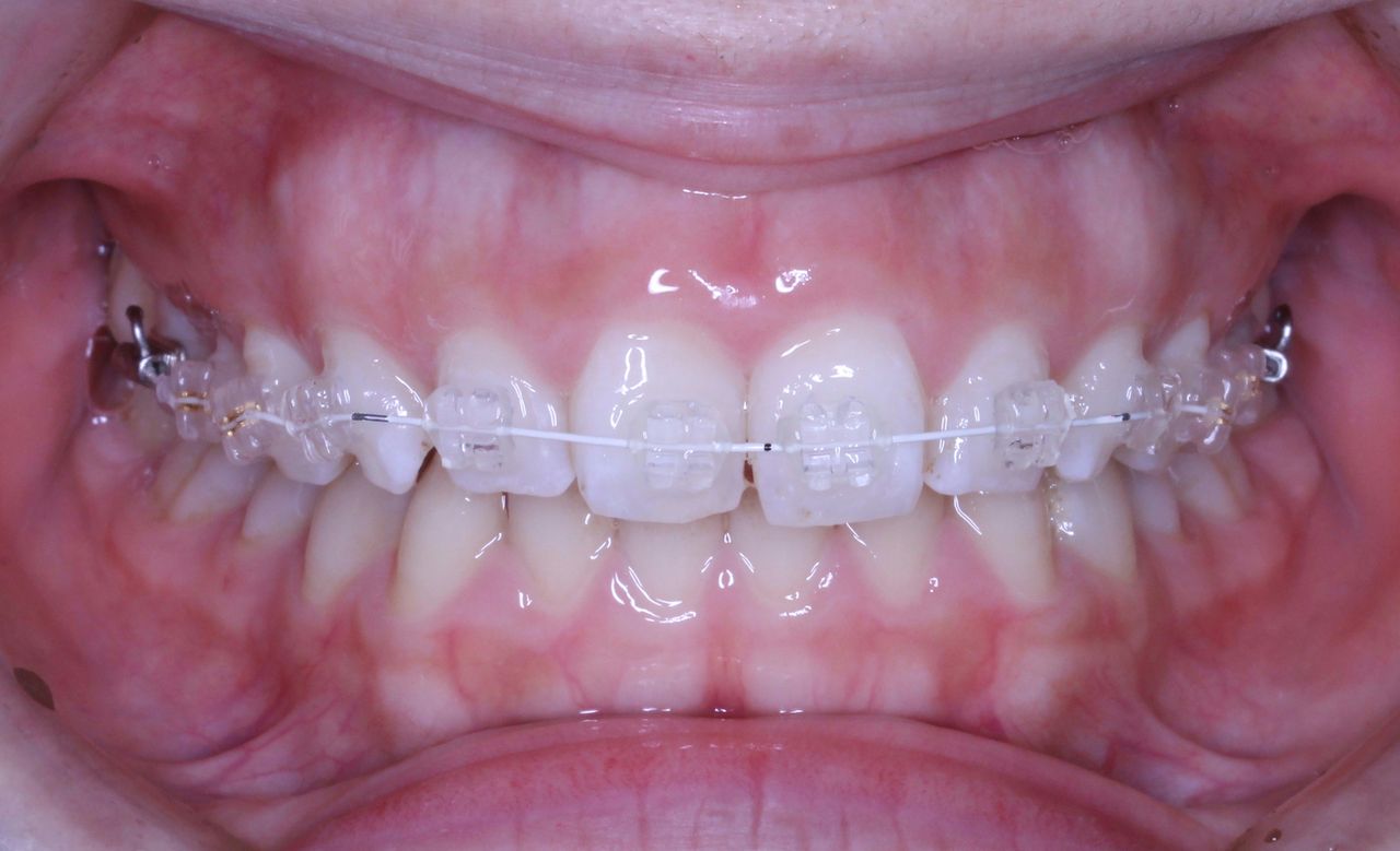
治療中の写真ですが、今回は症例という観点ではなく、ホワイトワイヤーという観点で供覧いたしましょう。
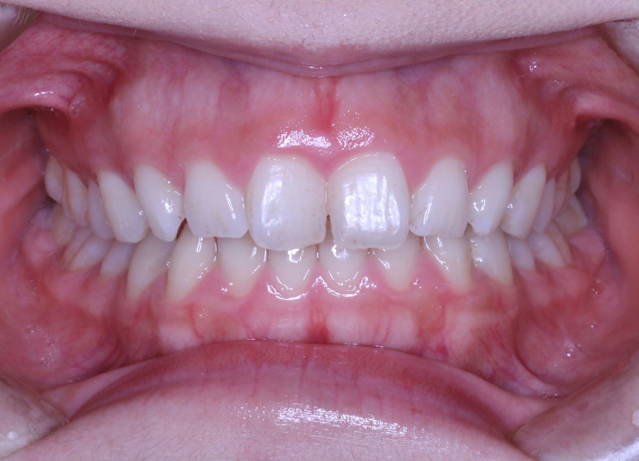
このように出っ歯の方に矯正装置をセットすると一層出っ歯になります
そういった場合、裏側装置を希望される方が非常に多いいのですが、御予算の関係もあります。
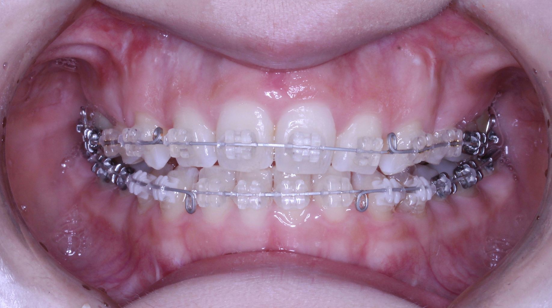
装置セットの写真です
このワイヤーは針金に白い塗料を塗っているワイヤーです。
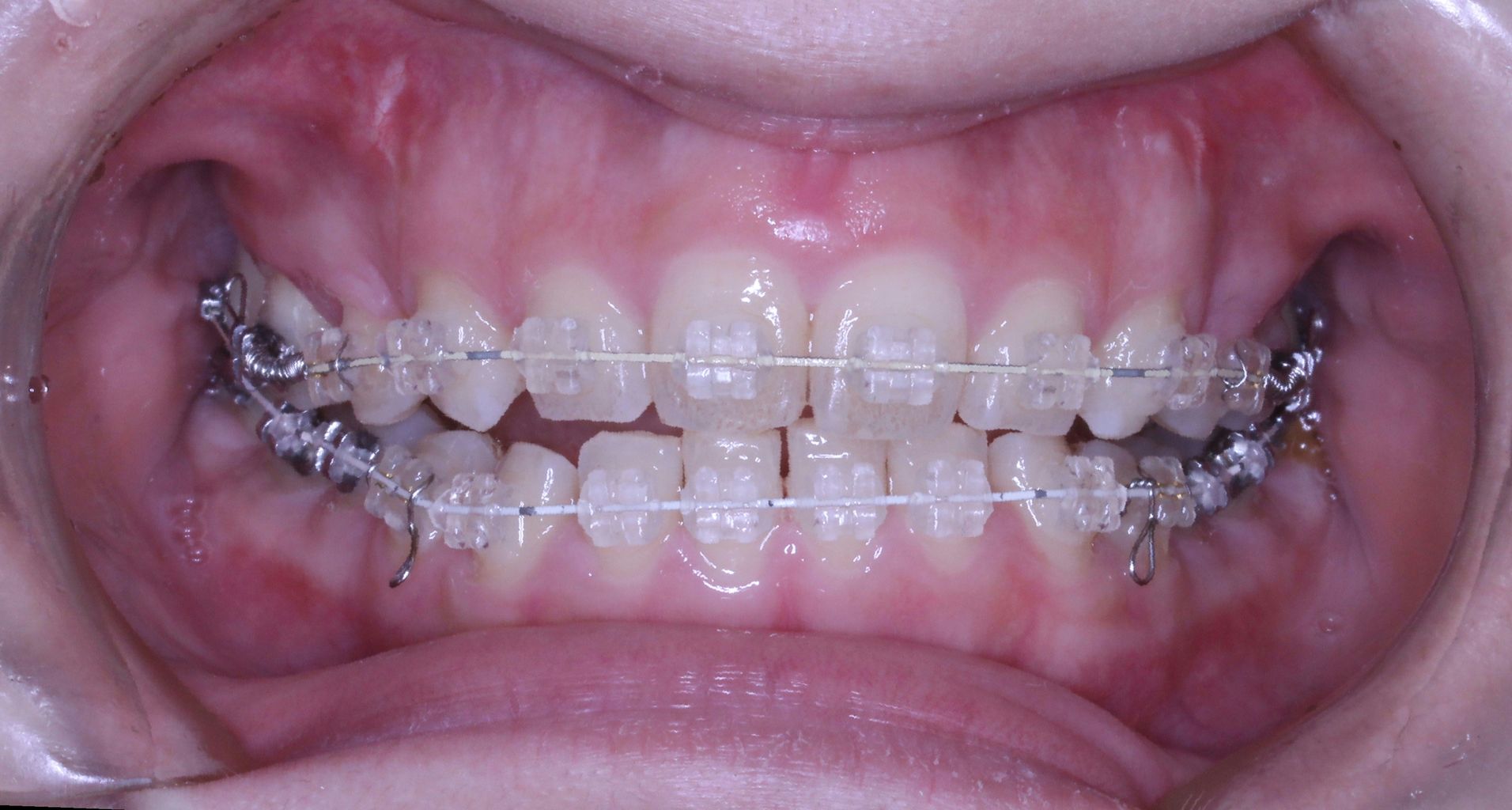
そのため、塗料は時間の経過とともにはがれてくることが欠点です。
塗料が剥がれてくると
塗料を塗っている分、ワイヤーの表面がザラザラしていると言われており、通常のワイヤーよりも歯の
動きが遅いとも言われております。
ある程度の太さになってくると、塗料のタイプではなく、ワイヤーそのものが白いものも登場してきます。
これは特殊なホワイトワイヤーでホワイトゴールドといった色です。塗装しているのではなくワイヤーそのものが白いです。
上のみ裏側で下がホワイトワイヤーといった組み合わせです
矯正を担当する側からすれば、通常の装置、通常のワイヤーでいいのではないかな?と思いますが、
こればかりは患者さんの希望・ニーズを考慮してあげることが治療に対するハードルを低くできるのではないかと
思ってます。
それでは今日も1日忙しいですが、がんばります!

















この記事へのコメントはありません。